FANCA Antibody (CY8296)
UniProt:O15360
Application:WB,IP
Reactivity:Human
Source:Rabbit mAb
http://www.abways.cn/showproduct.asp?cid=CY8296
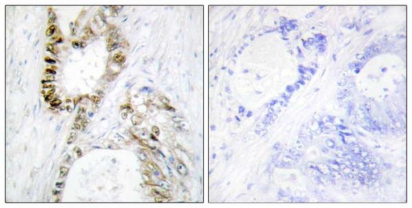
FANCA Antibody (AY0130)
UniProt:O15360
Application:IHC,ELISA
Reactivity:Human
Source:Rabbit pAb
http://www.abways.cn/showproduct.asp?cid=AY0130
< Prev1Next >





销售咨询
一键电话