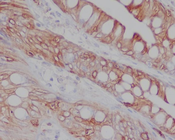
CD8 Antibody (CY5540)
References (1)
UniProt:P01732
Application:WB,IHC,ICC/IF
Reactivity:Human
Source:Rabbit mAb
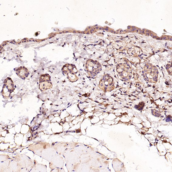
CD8 Antibody (CY5540)
UniProt:P01732
Application:WB,IHC,ICC/IF
Reactivity:Human
Source:Rabbit mAb
References(1)
http://www.abways.cn/showproduct.asp?cid=CY5540
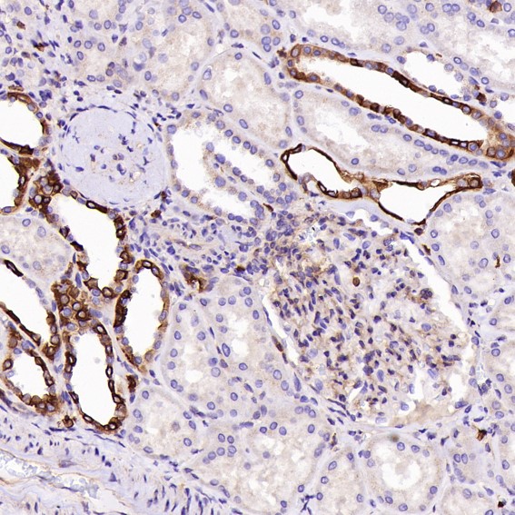
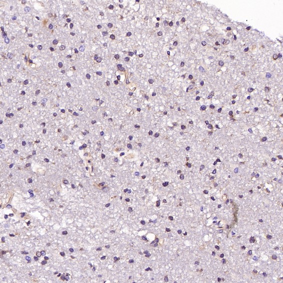
CD8 alpha Antibody (CY5219)
UniProt:P01732
Application:IHC
Reactivity:Human
Source:Rabbit mAb
http://www.abways.cn/showproduct.asp?cid=CY5219
< Prev1Next >




















销售咨询
一键电话