Collagen III Antibody (DY1299)
UniProt:P02461
Application:WB,ICC/IF,IP,FC
Reactivity:Human,Mouse,Rat
Source:Rabbit mAb
Collagen III Antibody (DY1299)
UniProt:P02461
Application:WB,ICC/IF,IP,FC
Reactivity:Human,Mouse,Rat
Source:Rabbit mAb
http://www.abways.cn/showproduct.asp?cid=DY1299
Collagen III α1 (Cleaved-Gly1221) Antibody (AY0213)
UniProt:P02461
Application:WB
Reactivity:Human:G1221
Source:Rabbit pAb
Collagen III α1 (Cleaved-Gly1221) Antibody (AY0213)
UniProt:P02461
Application:WB
Reactivity:Human:G1221
Source:Rabbit pAb
http://www.abways.cn/showproduct.asp?cid=AY0213
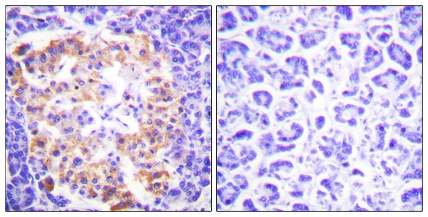
Collagen III Antibody (CY1020)
UniProt:P02461
Application:IHC,ICC/IF
Reactivity:Human,Mouse,Rat
Source:Rabbit pAb
Collagen III Antibody (CY1020)
UniProt:P02461
Application:IHC,ICC/IF
Reactivity:Human,Mouse,Rat
Source:Rabbit pAb
http://www.abways.cn/showproduct.asp?cid=CY1020
< Prev1Next >













销售咨询
一键电话