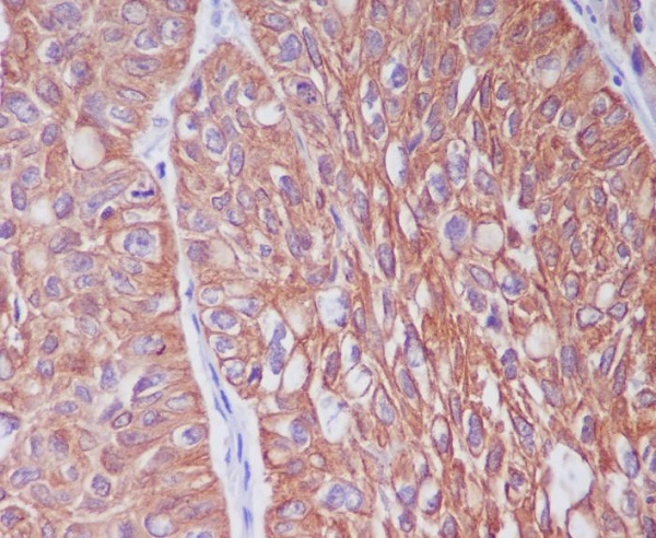
Cytokeratin 6 Antibody (CY5741)
UniProt:P02538
Application:WB,IHC,ICC/IF
Reactivity:Human
Source:Rabbit mAb
Cytokeratin 6 Antibody (CY5741)
UniProt:P02538
Application:WB,IHC,ICC/IF
Reactivity:Human
Source:Rabbit mAb
http://www.abways.cn/showproduct.asp?cid=CY5741
Cytokeratin 6 (1A5) Mouse mAb (AB3518)
UniProt:P02538
Application:WB,IHC,ICC/IF
Reactivity:Human
Source:Mouse mAb
Cytokeratin 6 (1A5) Mouse mAb (AB3518)
UniProt:P02538
Application:WB,IHC,ICC/IF
Reactivity:Human
Source:Mouse mAb
http://www.abways.cn/showproduct.asp?cid=AB3518
< Prev1Next >










销售咨询
一键电话