GR Antibody (CY6612)
UniProt:P04150
Application:WB,FC
Reactivity:Human,Mouse,Rat
Source:Rabbit mAb
http://www.abways.cn/showproduct.asp?cid=CY6612
Phospho-GR(Ser203) Antibody (CY6244)
UniProt:P04150
Application:WB
Reactivity:Human,Mouse
Source:Rabbit pAb
Phospho-GR(Ser203) Antibody (CY6244)
UniProt:P04150
Application:WB
Reactivity:Human,Mouse
Source:Rabbit pAb
http://www.abways.cn/showproduct.asp?cid=CY6244
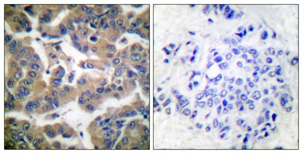
Phospho-GR (Ser226) Antibody (CY6243)
UniProt:P04150
Application:WB,IHC
Reactivity:Human,Mouse,Rat
Source:Rabbit pAb
Phospho-GR (Ser226) Antibody (CY6243)
UniProt:P04150
Application:WB,IHC
Reactivity:Human,Mouse,Rat
Source:Rabbit pAb
http://www.abways.cn/showproduct.asp?cid=CY6243
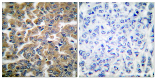
Phospho-GR (Ser211) Antibody (CY6242)
UniProt:P04150
Application:WB,IHC
Reactivity:Human,Mouse,Rat
Source:Rabbit pAb
Phospho-GR (Ser211) Antibody (CY6242)
UniProt:P04150
Application:WB,IHC
Reactivity:Human,Mouse,Rat
Source:Rabbit pAb
http://www.abways.cn/showproduct.asp?cid=CY6242
GR Antibody (CY3081)
UniProt:P04150
Application:WB,IHC
Reactivity:Human,Mouse,Rat
Source:Rabbit pAb
http://www.abways.cn/showproduct.asp?cid=CY3081
GR Antibody (CY2328)
UniProt:P04150
Application:WB,IHC,IF
Reactivity:Human,Mouse,Rat
Source:Rabbit pAb
GR Antibody (CY2328)
UniProt:P04150
Application:WB,IHC,IF
Reactivity:Human,Mouse,Rat
Source:Rabbit pAb
http://www.abways.cn/showproduct.asp?cid=CY2328
< Prev1Next >














销售咨询
一键电话