Laminin beta 1 Antibody (CY6653)
UniProt:P07942
Application:WB,FC
Reactivity:Human,Mouse,Rat
Source:Rabbit mAb
Laminin beta 1 Antibody (CY6653)
UniProt:P07942
Application:WB,FC
Reactivity:Human,Mouse,Rat
Source:Rabbit mAb
http://www.abways.cn/showproduct.asp?cid=CY6653
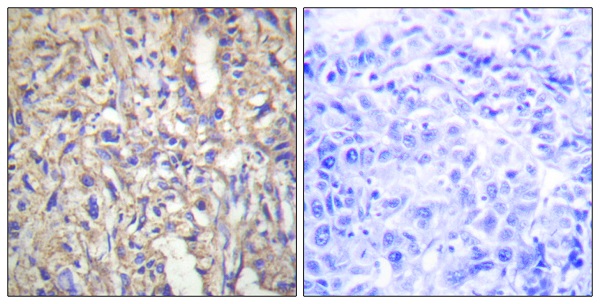
LAMB1 Antibody (AY2823)
UniProt:P07942
Application:WB,IHC,ICC/IF
Reactivity:Human,Mouse
Source:Rabbit pAb
LAMB1 Antibody (AY2823)
UniProt:P07942
Application:WB,IHC,ICC/IF
Reactivity:Human,Mouse
Source:Rabbit pAb
http://www.abways.cn/showproduct.asp?cid=AY2823
< Prev1Next >







销售咨询
一键电话