FRA2 Antibody (CY8493)
UniProt:P15408
Application:WB,IP,FC
Reactivity:Human,Mouse,Rat
Source:Rabbit mAb
FRA2 Antibody (CY8493)
UniProt:P15408
Application:WB,IP,FC
Reactivity:Human,Mouse,Rat
Source:Rabbit mAb
http://www.abways.cn/showproduct.asp?cid=CY8493
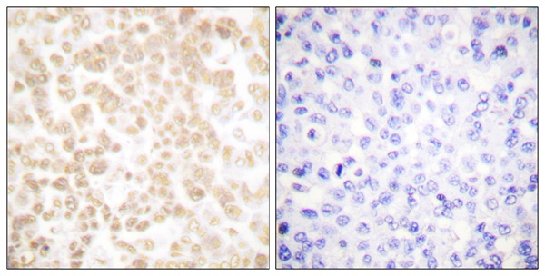
Fra 2 Antibody (CY2903)
UniProt:P15408
Application:WB,IHC
Reactivity:Human,Mouse,Rat
Source:Rabbit pAb
Fra 2 Antibody (CY2903)
UniProt:P15408
Application:WB,IHC
Reactivity:Human,Mouse,Rat
Source:Rabbit pAb
http://www.abways.cn/showproduct.asp?cid=CY2903
< Prev1Next >







销售咨询
一键电话