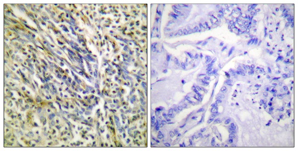
Aggrecan Antibody (CY6884)
References (2)
UniProt:P16112
Application:IHC
Reactivity:Human
Source:Rabbit mAb
Aggrecan Antibody (CY6884)
UniProt:P16112
Application:IHC
Reactivity:Human
Source:Rabbit mAb
References(2)
http://www.abways.cn/showproduct.asp?cid=CY6884
Aggrecan (Cleaved-Asp369) Antibody (AY0327)
UniProt:P16112
Application:WB,IHC
Reactivity:Human:D369,Rat:D369
Source:Rabbit pAb
Aggrecan (Cleaved-Asp369) Antibody (AY0327)
UniProt:P16112
Application:WB,IHC
Reactivity:Human:D369,Rat:D369
Source:Rabbit pAb
http://www.abways.cn/showproduct.asp?cid=AY0327
< Prev1Next >







销售咨询
一键电话