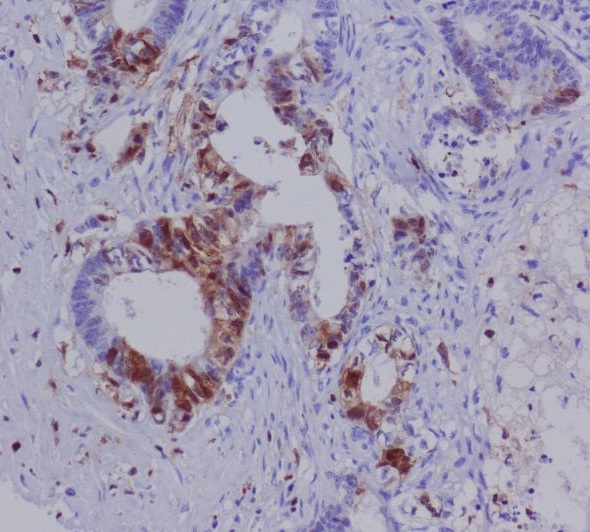
S100A4 Antibody (CY5799)
References (2)
UniProt:P26447
Application:WB,IHC,ICC/IF,IP,FC
Reactivity:Human,Mouse,Rat
Source:Rabbit mAb
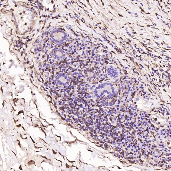
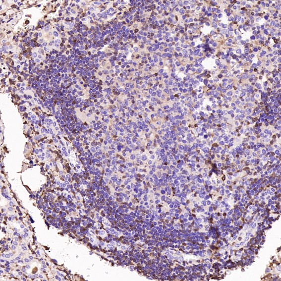
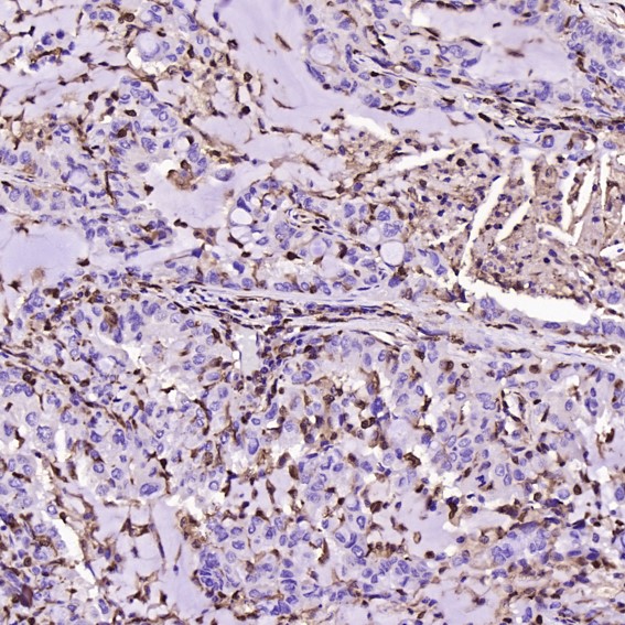
S100A4 Antibody (CY5799)
UniProt:P26447
Application:WB,IHC,ICC/IF,IP,FC
Reactivity:Human,Mouse,Rat
Source:Rabbit mAb
References(2)
http://www.abways.cn/showproduct.asp?cid=CY5799
S100A4 Mouse mAb (AB3349)
UniProt:P26447
Application:WB
Reactivity:Human
Source:Mouse mAb
http://www.abways.cn/showproduct.asp?cid=AB3349
< Prev1Next >













销售咨询
一键电话