VEGF Receptor 2 Antibody (CY5385)
References (1)
UniProt:P35968
Application:WB,IP
Reactivity:Human
Source:Rabbit mAb
VEGF Receptor 2 Antibody (CY5385)
UniProt:P35968
Application:WB,IP
Reactivity:Human
Source:Rabbit mAb
References(1)
http://www.abways.cn/showproduct.asp?cid=CY5385
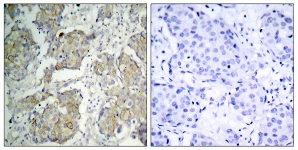
Phospho-VEGFR2 (Tyr1175) Antibody (AY0441)
UniProt:P35968
Application:WB,IHC
Reactivity:Human:Y1175,Mouse:Y1173,Rat:Y1171
Source:Rabbit pAb
Phospho-VEGFR2 (Tyr1175) Antibody (AY0441)
UniProt:P35968
Application:WB,IHC
Reactivity:Human:Y1175,Mouse:Y1173,Rat:Y1171
Source:Rabbit pAb
http://www.abways.cn/showproduct.asp?cid=AY0441
Phospho-VEGFR2 (Tyr1214) Antibody (CY6555)
UniProt:P35968
Application:WB,IHC
Reactivity:Human,Mouse,Rat
Source:Rabbit pAb
Phospho-VEGFR2 (Tyr1214) Antibody (CY6555)
UniProt:P35968
Application:WB,IHC
Reactivity:Human,Mouse,Rat
Source:Rabbit pAb
http://www.abways.cn/showproduct.asp?cid=CY6555
Phospho-VEGFR2 (Tyr1059) Antibody (CY6554)
UniProt:P35968
Application:WB
Reactivity:Human,Mouse,Rat
Source:Rabbit pAb
Phospho-VEGFR2 (Tyr1059) Antibody (CY6554)
UniProt:P35968
Application:WB
Reactivity:Human,Mouse,Rat
Source:Rabbit pAb
http://www.abways.cn/showproduct.asp?cid=CY6554
< Prev1Next >








销售咨询
一键电话