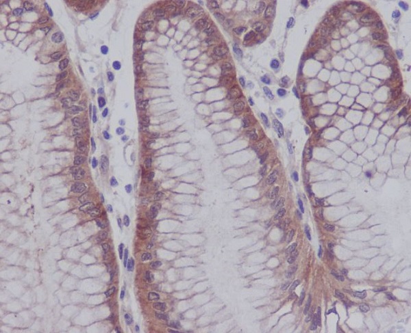
Phospho-YAP1 (S127) Antibody (CY5743)
References (2)
UniProt:P46937
Application:WB,IHC
Reactivity:Human,Mouse,Rat
Source:Rabbit mAb
Phospho-YAP1 (S127) Antibody (CY5743)
UniProt:P46937
Application:WB,IHC
Reactivity:Human,Mouse,Rat
Source:Rabbit mAb
References(2)
http://www.abways.cn/showproduct.asp?cid=CY5743
YAP1 Antibody (CY5381)
References (2)
UniProt:P46937
Application:WB,IHC,ICC/IF,IP,FC
Reactivity:Human
Source:Rabbit mAb
YAP1 Antibody (CY5381)
UniProt:P46937
Application:WB,IHC,ICC/IF,IP,FC
Reactivity:Human
Source:Rabbit mAb
References(2)
http://www.abways.cn/showproduct.asp?cid=CY5381
YAP Antibody (AY4622)
UniProt:P46937
Application:WB
Reactivity:Human,Mouse,Rat
Source:Rabbit pAb
http://www.abways.cn/showproduct.asp?cid=AY4622
< Prev1Next >












销售咨询
一键电话