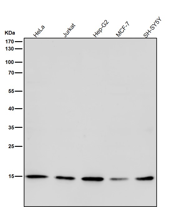
Histone H3 (acetyl K27) Antibody (CY9439)
Application:WB,IHC,ICC/IF,CHIP
Reactivity:Human,Mouse,Rat
Source:Rabbit mAb
Histone H3 (acetyl K27) Antibody (CY9439)
UniProt:P68431/P84243/Q16695/Q6NXT2/Q71DI3
Application:WB,IHC,ICC/IF,CHIP
Reactivity:Human,Mouse,Rat
Source:Rabbit mAb
http://www.abways.cn/showproduct.asp?cid=CY9439
Histone H3 (acetyl K23) Antibody (CY9205)
Application:WB,ICC/IF,ChIP
Reactivity:Human,Mouse
Source:Rabbit mAb
Histone H3 (acetyl K23) Antibody (CY9205)
UniProt:P68431/P84243/Q16695/Q6NXT2/Q71DI3
Application:WB,ICC/IF,ChIP
Reactivity:Human,Mouse
Source:Rabbit mAb
http://www.abways.cn/showproduct.asp?cid=CY9205
< Prev1Next >











销售咨询
一键电话