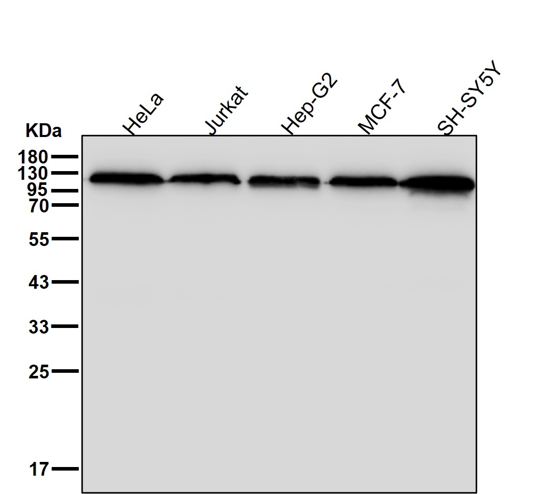
hnRNP U Antibody (CY8112)
UniProt:Q00839
Application:WB,IHC,ICC/IF,FC
Reactivity:Human,Mouse,Rat
Source:Rabbit mAb
hnRNP U Antibody (CY8112)
UniProt:Q00839
Application:WB,IHC,ICC/IF,FC
Reactivity:Human,Mouse,Rat
Source:Rabbit mAb
http://www.abways.cn/showproduct.asp?cid=CY8112
hnRNP U Mouse mAb (AB3200)
UniProt:Q00839
Application:WB
Reactivity:Human
Source:Mouse mAb
http://www.abways.cn/showproduct.asp?cid=AB3200
< Prev1Next >







销售咨询
一键电话