显示

产品筛选

  产品类别
  •   (6)
  •   (11)
  •   (0)
  •   (0)
  •   (0)
  •   (0)
  克隆性
  应用
  种属
  修饰
  宿主

Option

  • UniProt
    Q04206

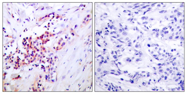
Phospho-NF-κB p65 (Ser281) Antibody (AY0623) 

UniProt:Q04206
Application:IHC
Reactivity:Human:S281,Mouse:S281,Rat:S281
Source:Rabbit pAb
Phospho-NF-κB p65 (Ser281) Antibody (AY0623)
UniProt:Q04206
Application:IHC
Reactivity:Human:S281,Mouse:S281,Rat:S281
Source:Rabbit pAb
http://www.abways.cn/showproduct.asp?cid=AY0623

Phospho-NF- kappaB p65 (Ser468) Antibody (CY6370) 

UniProt:Q04206
Application:WB,IHC,IP
Reactivity:Human,Mouse,Rat
Source:Rabbit pAb
Phospho-NF- kappaB p65 (Ser468) Antibody (CY6370)
UniProt:Q04206
Application:WB,IHC,IP
Reactivity:Human,Mouse,Rat
Source:Rabbit pAb
http://www.abways.cn/showproduct.asp?cid=CY6370

Phospho-NF- kappaB p65 (Ser529) Antibody (CY6371) 

UniProt:Q04206
Application:WB,IHC
Reactivity:Human,Mouse
Source:Rabbit pAb
Phospho-NF- kappaB p65 (Ser529) Antibody (CY6371)
UniProt:Q04206
Application:WB,IHC
Reactivity:Human,Mouse
Source:Rabbit pAb
http://www.abways.cn/showproduct.asp?cid=CY6371

Phospho-NF- kappaB p65 (Ser536) Antibody (CY6372) 

References 2
UniProt:Q04206
Application:WB,IHC,IP
Reactivity:Human,Mouse,Rat
Source:Rabbit pAb
Phospho-NF- kappaB p65 (Ser536) Antibody (CY6372)
UniProt:Q04206
Application:WB,IHC,IP
Reactivity:Human,Mouse,Rat
Source:Rabbit pAb
References(2)
http://www.abways.cn/showproduct.asp?cid=CY6372

Phospho-NF- kappaB p65 (Thr254) Antibody (CY6373) 

UniProt:Q04206
Application:WB,IHC,IP
Reactivity:Human,Mouse,Rat
Source:Rabbit pAb
Phospho-NF- kappaB p65 (Thr254) Antibody (CY6373)
UniProt:Q04206
Application:WB,IHC,IP
Reactivity:Human,Mouse,Rat
Source:Rabbit pAb
http://www.abways.cn/showproduct.asp?cid=CY6373

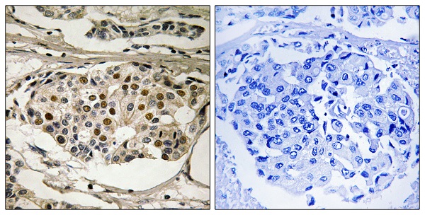
Phospho-NF-κB p65 (-Ser529) Antibody (AY0621) 

UniProt:Q04206
Application:IHC
Reactivity:Human:S529,Mouse:S527,Rat:S528
Source:Rabbit pAb
Phospho-NF-κB p65 (-Ser529) Antibody (AY0621)
UniProt:Q04206
Application:IHC
Reactivity:Human:S529,Mouse:S527,Rat:S528
Source:Rabbit pAb
http://www.abways.cn/showproduct.asp?cid=AY0621

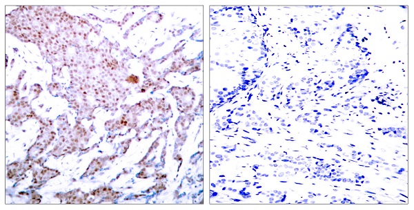
Phospho-NF-κB p65 (Thr505) Antibody (AY0622) 

UniProt:Q04206
Application:IHC
Reactivity:Human:T505,Mouse:T504,Rat:T505
Source:Rabbit pAb
Phospho-NF-κB p65 (Thr505) Antibody (AY0622)
UniProt:Q04206
Application:IHC
Reactivity:Human:T505,Mouse:T504,Rat:T505
Source:Rabbit pAb
http://www.abways.cn/showproduct.asp?cid=AY0622

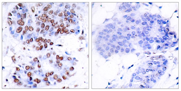
NF-kappaB p65 Antibody (CY2329) 

References 2
UniProt:Q04206
Application:WB,IHC,IP
Reactivity:Human,Mouse,Rat
Source:Rabbit pAb
NF-kappaB p65 Antibody (CY2329)
UniProt:Q04206
Application:WB,IHC,IP
Reactivity:Human,Mouse,Rat
Source:Rabbit pAb
References(2)
http://www.abways.cn/showproduct.asp?cid=CY2329

< Prev12Next >