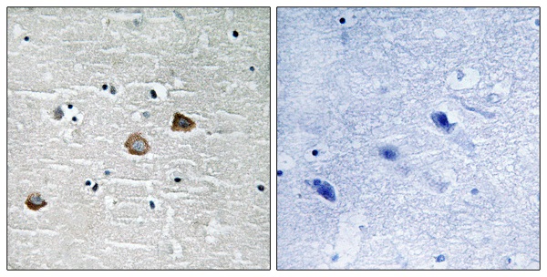
Phospho-CaMKII (Thr287) (4A8) Mouse mAb (AB3568)
UniProt:Q13554/Q13555/Q13557
Application:IHC
Reactivity:Human,Mouse,Rat
Source:Mouse mAb
Phospho-CaMKII (Thr287) (4A8) Mouse mAb (AB3568)
UniProt:Q13554/Q13555/Q13557
Application:IHC
Reactivity:Human,Mouse,Rat
Source:Mouse mAb
http://www.abways.cn/showproduct.asp?cid=AB3568
Phospho-CaMKII (Thr287) (3G9) Mouse mAb (AB3565)
UniProt:Q13554/Q13555/Q13557
Application:IHC
Reactivity:Human,Mouse,Rat
Source:Mouse mAb
Phospho-CaMKII (Thr287) (3G9) Mouse mAb (AB3565)
UniProt:Q13554/Q13555/Q13557
Application:IHC
Reactivity:Human,Mouse,Rat
Source:Mouse mAb
http://www.abways.cn/showproduct.asp?cid=AB3565
Phospho-CaMK2- beta/ gamma/ delta (Thr287) Antibody (CY6076)
UniProt:Q13554/Q13555/Q13557
Application:WB,IHC
Reactivity:Human,Mouse,Rat
Source:Rabbit pAb
Phospho-CaMK2- beta/ gamma/ delta (Thr287) Antibody (CY6076)
UniProt:Q13554/Q13555/Q13557
Application:WB,IHC
Reactivity:Human,Mouse,Rat
Source:Rabbit pAb
http://www.abways.cn/showproduct.asp?cid=CY6076
< Prev1Next >









销售咨询
一键电话