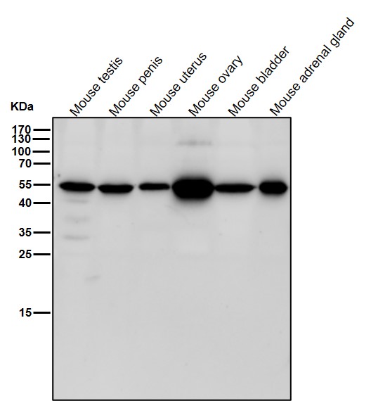
Cytochrome P450 17A1 Antibody (CY8577)
References (1)
UniProt:P05093
Application:WB,ICC/IF,IP,FC
Reactivity:Human,Mouse,Rat
Source:Rabbit mAb
Cytochrome P450 17A1 Antibody (CY8577)
UniProt:P05093
Application:WB,ICC/IF,IP,FC
Reactivity:Human,Mouse,Rat
Source:Rabbit mAb
References(1)
http://www.abways.cn/showproduct.asp?cid=CY8577
< Prev1Next >











销售咨询
一键电话