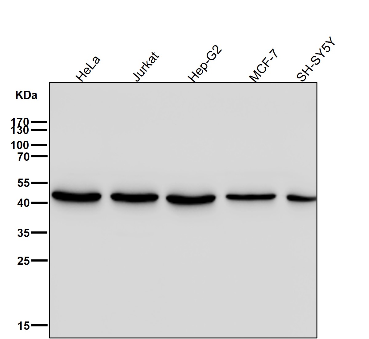
NSE Antibody (CY5656)
UniProt:P09104
Application:WB,IHC,ICC/IF,FC
Reactivity:Human,Mouse,Rat
Source:Rabbit mAb
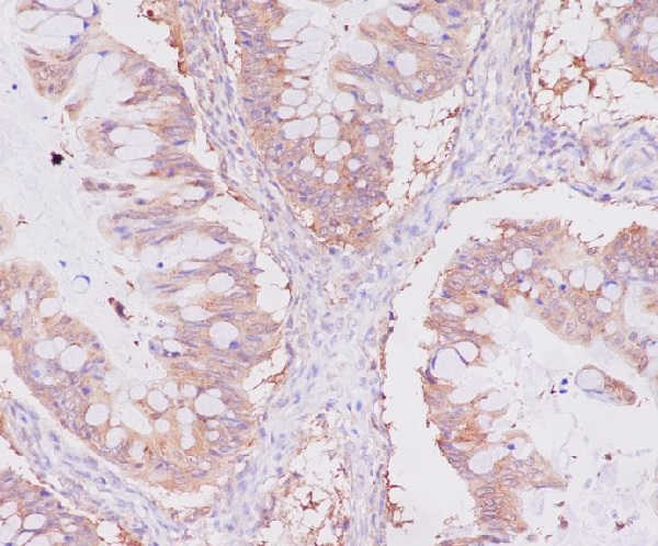
NSE Antibody (CY5656)
UniProt:P09104
Application:WB,IHC,ICC/IF,FC
Reactivity:Human,Mouse,Rat
Source:Rabbit mAb
http://www.abways.cn/showproduct.asp?cid=CY5656
< Prev1Next >









销售咨询
一键电话