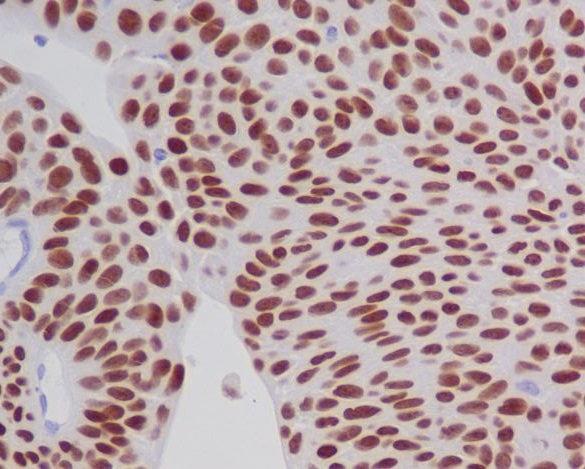
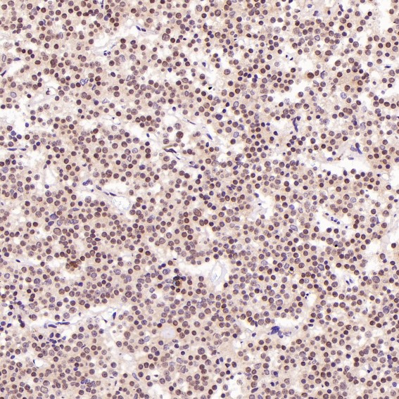
GATA3 Antibody (CY6840)
UniProt:P23771
Application:WB,IHC,ICC/IF,FC,ChIP
Reactivity:Human
Source:Rabbit mAb
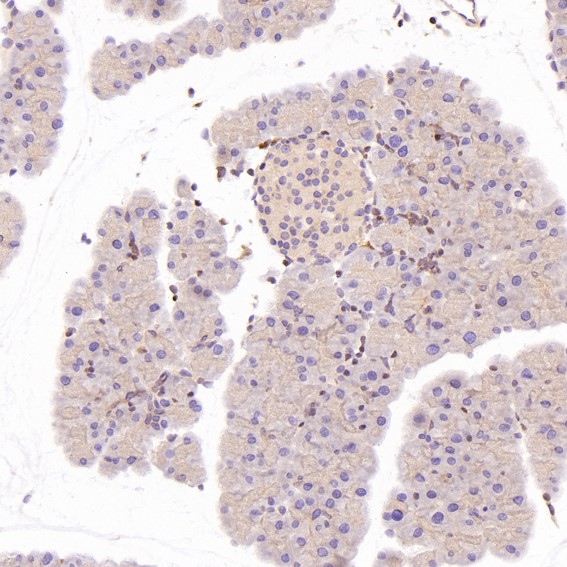
GATA3 Antibody (CY6840)
UniProt:P23771
Application:WB,IHC,ICC/IF,FC,ChIP
Reactivity:Human
Source:Rabbit mAb
http://www.abways.cn/showproduct.asp?cid=CY6840
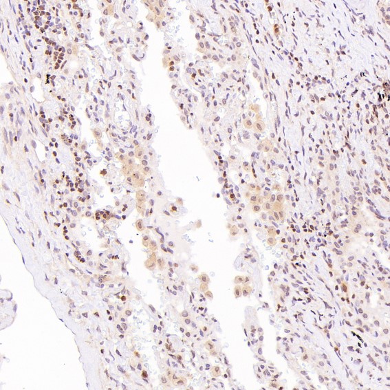
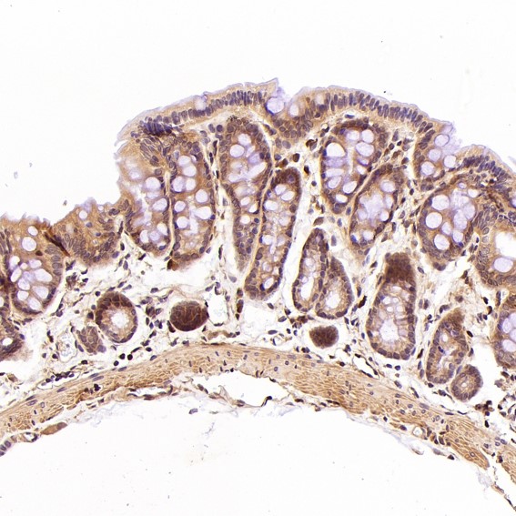
Phospho-GATA3 (S308) Antibody (CY5508)
UniProt:P23771
Application:WB,IHC,IP
Reactivity:Human
Source:Rabbit mAb
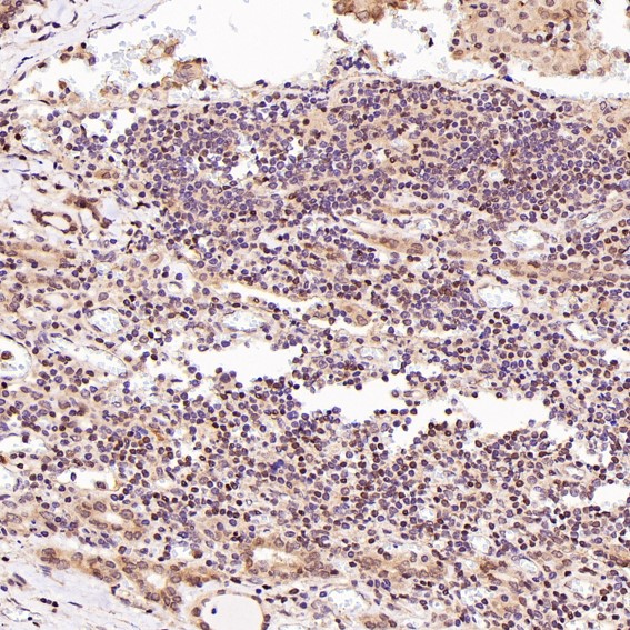
Phospho-GATA3 (S308) Antibody (CY5508)
UniProt:P23771
Application:WB,IHC,IP
Reactivity:Human
Source:Rabbit mAb
http://www.abways.cn/showproduct.asp?cid=CY5508
< Prev1Next >

















销售咨询
一键电话