显示

产品筛选

  产品类别
  •   (4)
  •   (0)
  •   (0)
  •   (0)
  •   (0)
  •   (0)
  克隆性
  应用
  种属
  修饰
  宿主

Option

  • UniProt
    Q16539
  • Source
    Rabbit mAb

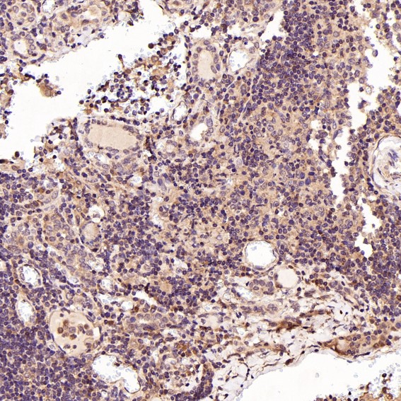
Phospho-p38 (T180) Antibody (CY8114) 

UniProt:Q16539
Application:WB,IHC
Reactivity:Human
Source:Rabbit mAb
Phospho-p38 (T180) Antibody (CY8114)
UniProt:Q16539
Application:WB,IHC
Reactivity:Human
Source:Rabbit mAb
http://www.abways.cn/showproduct.asp?cid=CY8114

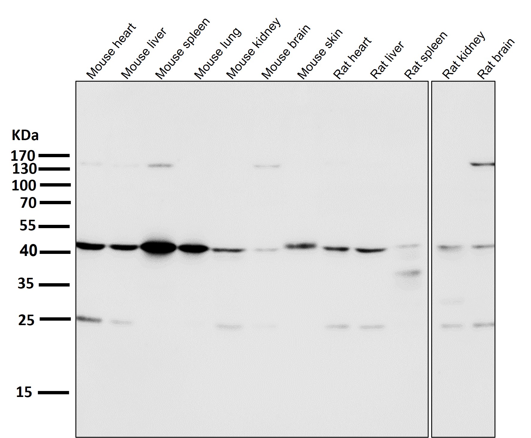
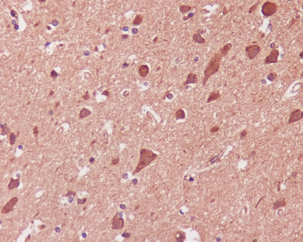
p38 MAPK Antibody (CY5600) 

UniProt:Q16539
Application:WB,IHC,ICC/IF
Reactivity:Human,Mouse,Rat
Source:Rabbit mAb
p38 MAPK Antibody (CY5600)
UniProt:Q16539
Application:WB,IHC,ICC/IF
Reactivity:Human,Mouse,Rat
Source:Rabbit mAb
http://www.abways.cn/showproduct.asp?cid=CY5600

p38 MAPK Antibody (CY5488) 

References 1
UniProt:Q16539
Application:WB,ICC/IF,IP,FC
Reactivity:Human,Mouse,Rat
Source:Rabbit mAb
p38 MAPK Antibody (CY5488)
UniProt:Q16539
Application:WB,ICC/IF,IP,FC
Reactivity:Human,Mouse,Rat
Source:Rabbit mAb
References(1)
http://www.abways.cn/showproduct.asp?cid=CY5488

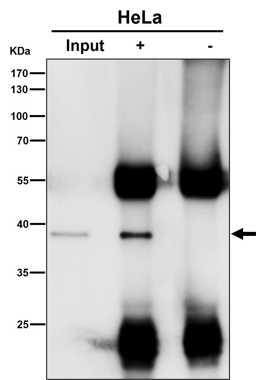
p38 MAPK Antibody (CY5262) 

References 3
UniProt:Q16539
Application:WB,ICC/IF,IP,FC,ChIP
Reactivity:Human,Mouse,Rat
Source:Rabbit mAb
p38 MAPK Antibody (CY5262)
UniProt:Q16539
Application:WB,ICC/IF,IP,FC,ChIP
Reactivity:Human,Mouse,Rat
Source:Rabbit mAb
References(3)
http://www.abways.cn/showproduct.asp?cid=CY5262

< Prev1Next >