单克隆抗体

Rubisco (Large Chain) (1E3) Mouse mAb (AB3641) 

Application:WB
Reactivity:Plants
Source:Mouse mAb
Rubisco (Large Chain) (1E3) Mouse mAb (AB3641)
UniProt:
Application:WB
Reactivity:Plants
Source:Mouse mAb
http://www.abways.cn/showproduct.asp?cid=AB3641

Cyclophilin B (6H1) Mouse mAb (AB3642) 

UniProt:P23284
Application:WB
Reactivity:Human,Mouse,Rat
Source:Mouse mAb
Cyclophilin B (6H1) Mouse mAb (AB3642)
UniProt:P23284
Application:WB
Reactivity:Human,Mouse,Rat
Source:Mouse mAb
http://www.abways.cn/showproduct.asp?cid=AB3642

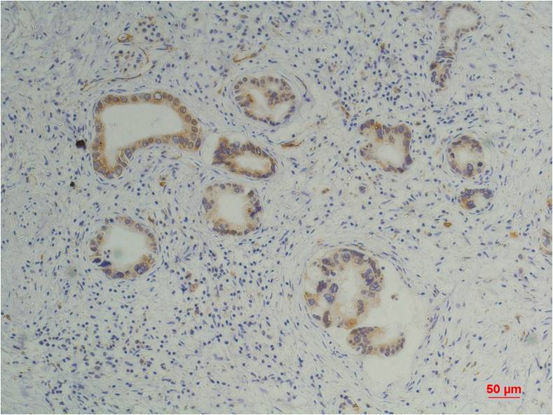
Desmin (4H1) Mouse mAb (AB3643) 

UniProt:P17661
Application:IHC
Reactivity:Human,Mouse,Rat
Source:Mouse mAb
Desmin (4H1) Mouse mAb (AB3643)
UniProt:P17661
Application:IHC
Reactivity:Human,Mouse,Rat
Source:Mouse mAb
http://www.abways.cn/showproduct.asp?cid=AB3643

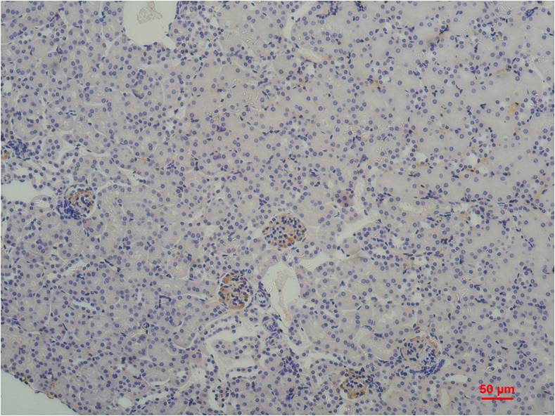
Cyclophilin B (5F10) Mouse mAb (AB3644) 

UniProt:P23284
Application:WB,IHC
Reactivity:Human,Mouse,Rat
Source:Mouse mAb
Cyclophilin B (5F10) Mouse mAb (AB3644)
UniProt:P23284
Application:WB,IHC
Reactivity:Human,Mouse,Rat
Source:Mouse mAb
http://www.abways.cn/showproduct.asp?cid=AB3644

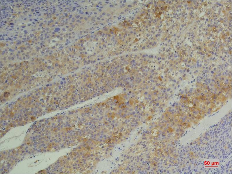
TATA binding protein TBP (10C1) Mouse mAb (AB3645) 

UniProt:P20226
Application:IHC
Reactivity:Human,Mouse,Rat
Source:Mouse mAb
TATA binding protein TBP (10C1) Mouse mAb (AB3645)
UniProt:P20226
Application:IHC
Reactivity:Human,Mouse,Rat
Source:Mouse mAb
http://www.abways.cn/showproduct.asp?cid=AB3645