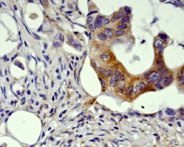
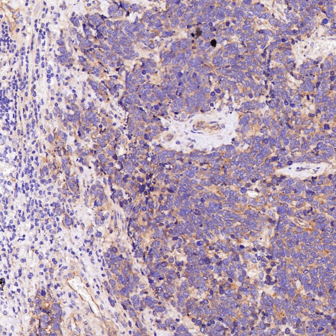
单克隆抗体
GSK3 beta Antibody (CY2434)
References (1)
UniProt:P49841
Application:WB,IHC,ICC/IF,FC
Reactivity:Human,Mouse
Source:Rabbit mAb
GSK3 beta Antibody (CY2434)
UniProt:P49841
Application:WB,IHC,ICC/IF,FC
Reactivity:Human,Mouse
Source:Rabbit mAb
References(1)
http://www.abways.cn/showproduct.asp?cid=CY2434
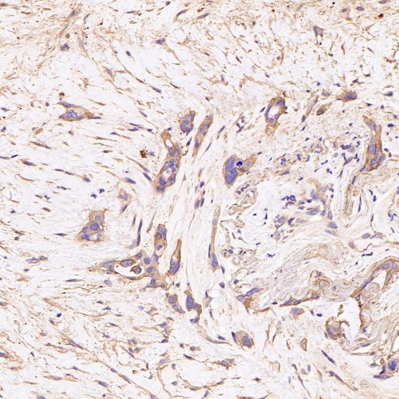
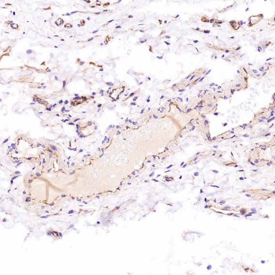
beta Catenin Antibody (CY3523)
References (6)
UniProt:P35222
Application:WB,IHC,ICC/IF,IP
Reactivity:Human,Mouse,Rat
Source:Rabbit mAb
beta Catenin Antibody (CY3523)
UniProt:P35222
Application:WB,IHC,ICC/IF,IP
Reactivity:Human,Mouse,Rat
Source:Rabbit mAb
References(6)
http://www.abways.cn/showproduct.asp?cid=CY3523
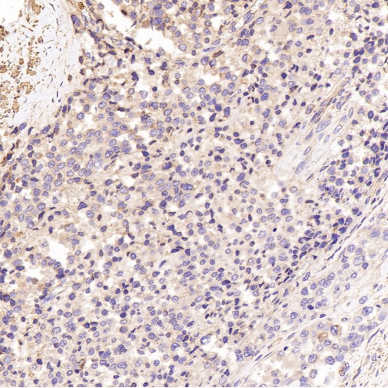
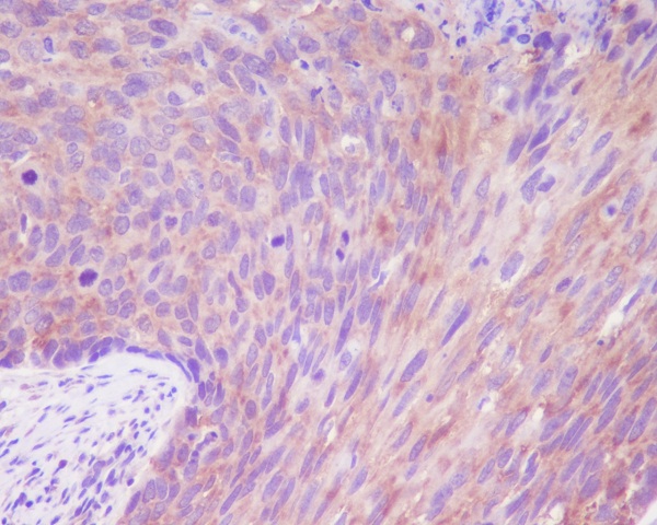
DSG1 Antibody (CY4621)
UniProt:Q02413
Application:WB,IHC,ICC/IF
Reactivity:Human,Mouse,Rat
Source:Rabbit mAb
DSG1 Antibody (CY4621)
UniProt:Q02413
Application:WB,IHC,ICC/IF
Reactivity:Human,Mouse,Rat
Source:Rabbit mAb
http://www.abways.cn/showproduct.asp?cid=CY4621
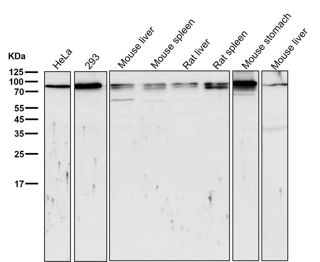
Lrp2 / Megalin Antibody (CY5001)
UniProt:P98164
Application:WB
Reactivity:Human,Mouse,Rat
Source:Rabbit mAb
Lrp2 / Megalin Antibody (CY5001)
UniProt:P98164
Application:WB
Reactivity:Human,Mouse,Rat
Source:Rabbit mAb
http://www.abways.cn/showproduct.asp?cid=CY5001
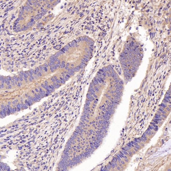
Cubilin Antibody (CY5002)
UniProt:O60494
Application:WB
Reactivity:Human,Mouse,Rat
Source:Rabbit mAb
Cubilin Antibody (CY5002)
UniProt:O60494
Application:WB
Reactivity:Human,Mouse,Rat
Source:Rabbit mAb
http://www.abways.cn/showproduct.asp?cid=CY5002

































销售咨询
一键电话