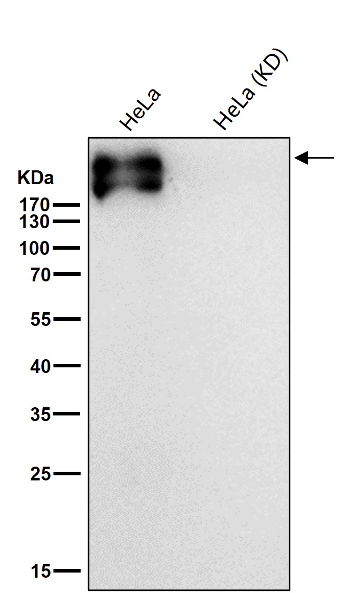
Fibronectin Antibody (CY9537)
UniProt:P02751
Application:WB,ICC/IF,FC
Reactivity:Human,Mouse,Rat
Source:Rabbit mAb
Fibronectin Antibody (CY9537)
UniProt:P02751
Application:WB,ICC/IF,FC
Reactivity:Human,Mouse,Rat
Source:Rabbit mAb
http://www.abways.cn/showproduct.asp?cid=CY9537
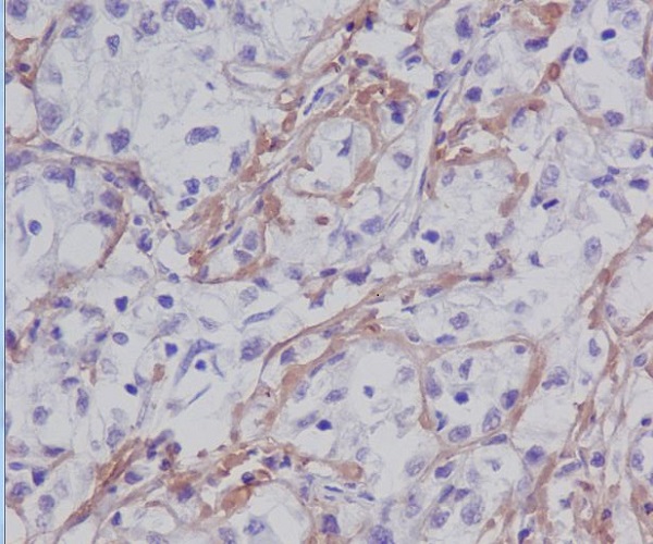
Fibronectin Antibody (CY5621)
UniProt:P02751
Application:WB,IHC,ICC/IF
Reactivity:Human
Source:Rabbit mAb
Fibronectin Antibody (CY5621)
UniProt:P02751
Application:WB,IHC,ICC/IF
Reactivity:Human
Source:Rabbit mAb
http://www.abways.cn/showproduct.asp?cid=CY5621
Fibronectin (1E2) Mouse mAb (AB3451)
UniProt:P02751
Application:WB,IHC,ICC/IF
Reactivity:Human,Mouse,Rat
Source:Mouse mAb
Fibronectin (1E2) Mouse mAb (AB3451)
UniProt:P02751
Application:WB,IHC,ICC/IF
Reactivity:Human,Mouse,Rat
Source:Mouse mAb
http://www.abways.cn/showproduct.asp?cid=AB3451
< Prev1Next >















销售咨询
一键电话