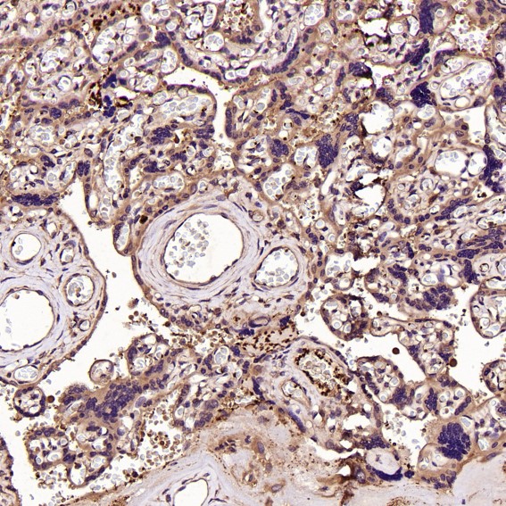
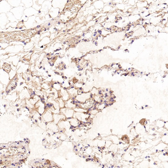
CD41 Antibody (CY6790)
UniProt:P08514
Application:WB,IHC
Reactivity:Human
Source:Rabbit mAb
http://www.abways.cn/showproduct.asp?cid=CY6790
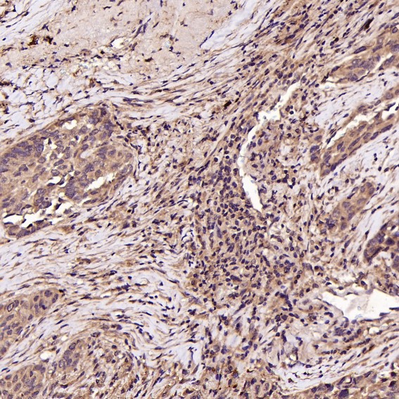
CD41 (9G4) Mouse mAb (AB3527)
UniProt:P08514
Application:IHC
Reactivity:Human
Source:Mouse mAb
http://www.abways.cn/showproduct.asp?cid=AB3527
< Prev1Next >

 








 销售咨询
销售咨询 一键电话
一键电话