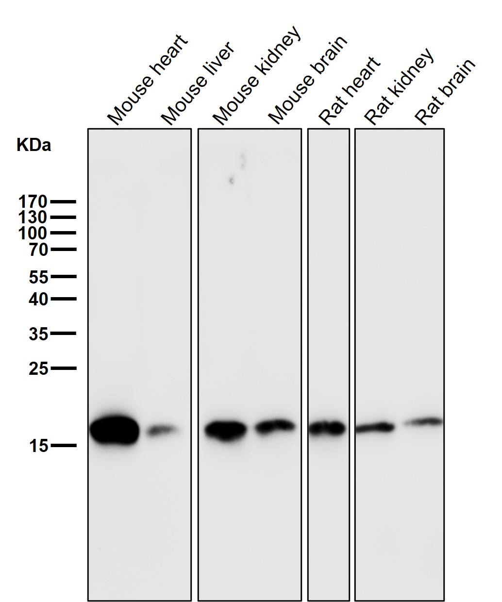
COX IV Antibody (DY1199)
UniProt:P13073
Application:WB,IHC,ICC/IF,IP,FC
Reactivity:Human,Mouse,Rat
Source:Rabbit mAb
COX IV Antibody (DY1199)
UniProt:P13073
Application:WB,IHC,ICC/IF,IP,FC
Reactivity:Human,Mouse,Rat
Source:Rabbit mAb
http://www.abways.cn/showproduct.asp?cid=DY1199
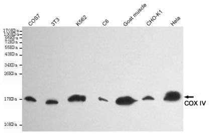
COX IV Antibody (CY5155)
UniProt:P13073
Application:WB,IHC,ICC/IF,IP,FC
Reactivity:Human,Mouse,Rat
Source:Rabbit mAb
COX IV Antibody (CY5155)
UniProt:P13073
Application:WB,IHC,ICC/IF,IP,FC
Reactivity:Human,Mouse,Rat
Source:Rabbit mAb
http://www.abways.cn/showproduct.asp?cid=CY5155
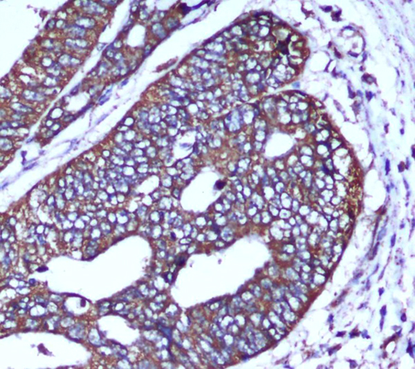
COX IV Mouse mAb (AB3119)
UniProt:P13073
Application:WB,IHC,ICC/IF,IP,FC
Reactivity:Human,Mouse,Rat,Hamster,Goat,Monkey
Source:Mouse mAb
COX IV Mouse mAb (AB3119)
UniProt:P13073
Application:WB,IHC,ICC/IF,IP,FC
Reactivity:Human,Mouse,Rat,Hamster,Goat,Monkey
Source:Mouse mAb
http://www.abways.cn/showproduct.asp?cid=AB3119
COX41 Antibody (AY1764)
UniProt:P13073
Application:WB,IHC
Reactivity:Human
Source:Rabbit pAb
http://www.abways.cn/showproduct.asp?cid=AY1764
< Prev1Next >





















销售咨询
一键电话