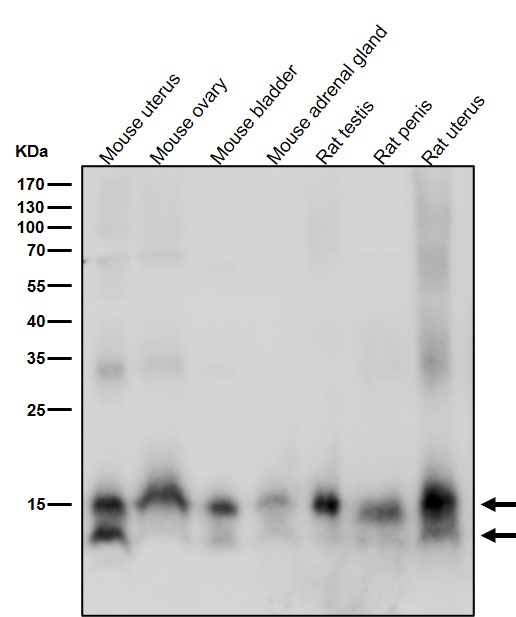
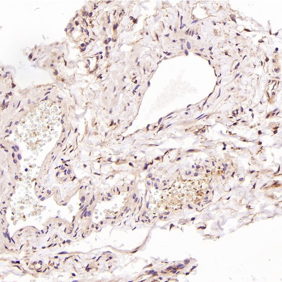
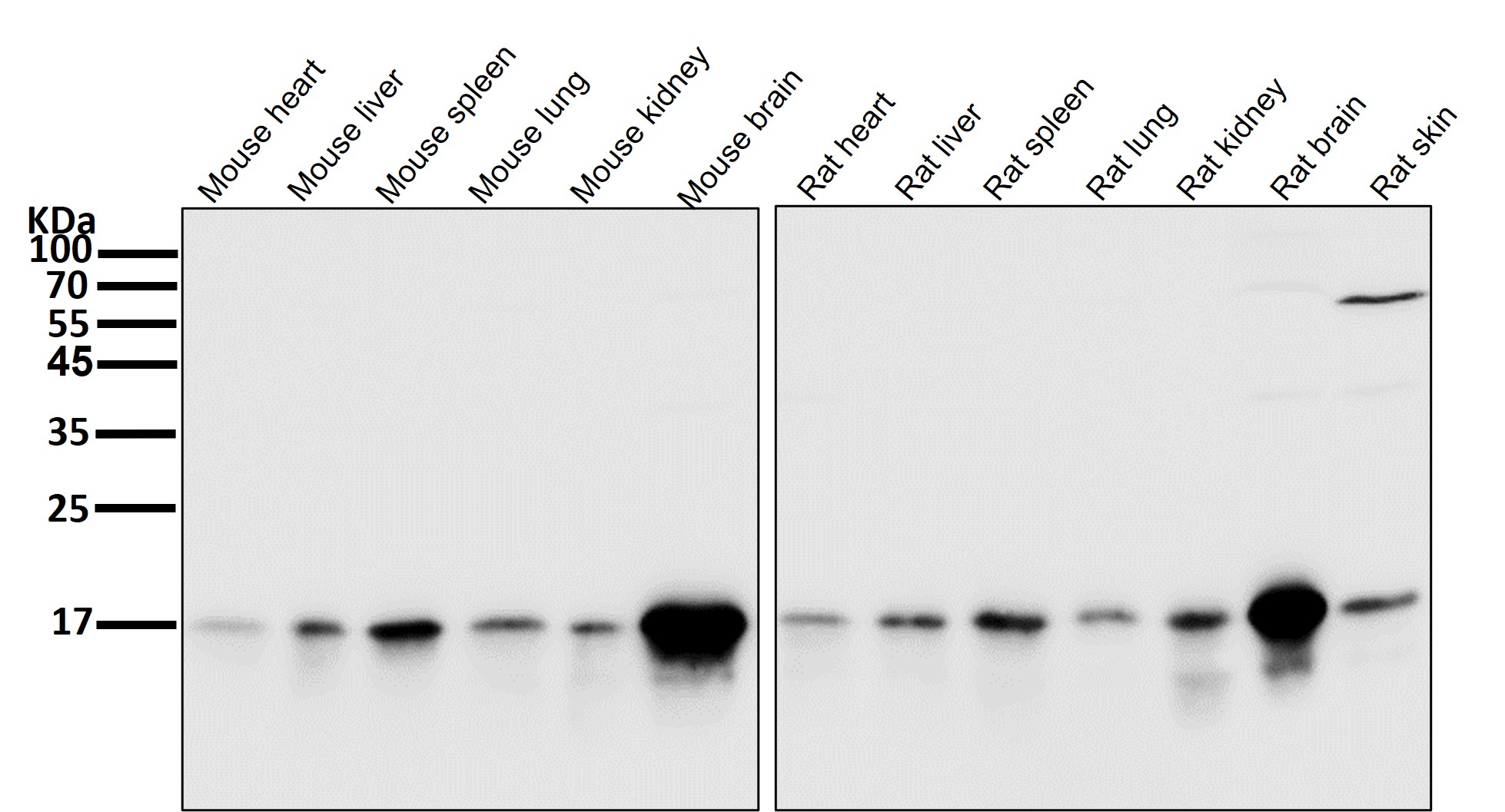
LC3B Antibody (CY5992)
References (19)
UniProt:Q9GZQ8
Application:WB,IHC,ICC/IF,IP
Reactivity:Human,Mouse,Rat
Source:Rabbit mAb
LC3B Antibody (CY5992)
UniProt:Q9GZQ8
Application:WB,IHC,ICC/IF,IP
Reactivity:Human,Mouse,Rat
Source:Rabbit mAb
References(19)
http://www.abways.cn/showproduct.asp?cid=CY5992
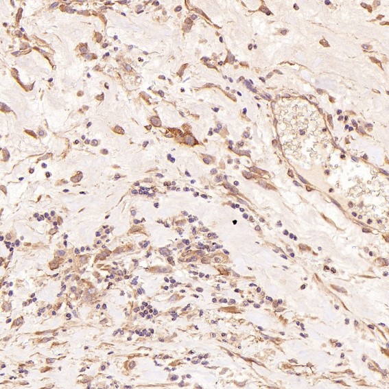
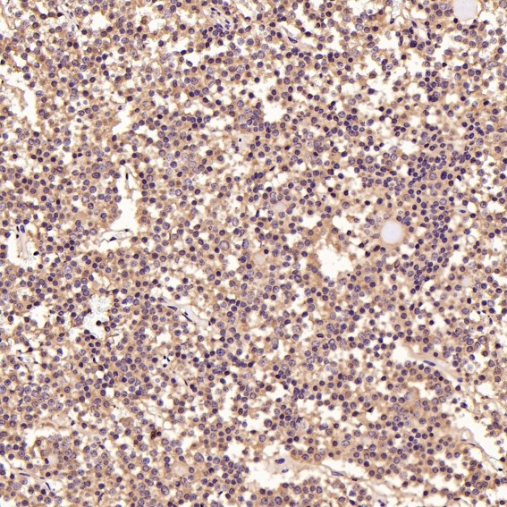
LC3B (8H6) Mouse mAb (AB3591)
UniProt:Q9GZQ8
Application:IHC
Reactivity:Human
Source:Mouse mAb
http://www.abways.cn/showproduct.asp?cid=AB3591
< Prev1Next >























销售咨询
一键电话