显示

产品筛选

  产品类别
  •   (1)
  •   (0)
  •   (0)
  •   (0)
  •   (0)
  •   (0)
  克隆性
  应用
  种属
  修饰
  宿主

Option

  • UniProt
    P08575
  • Source
    Rabbit mAb

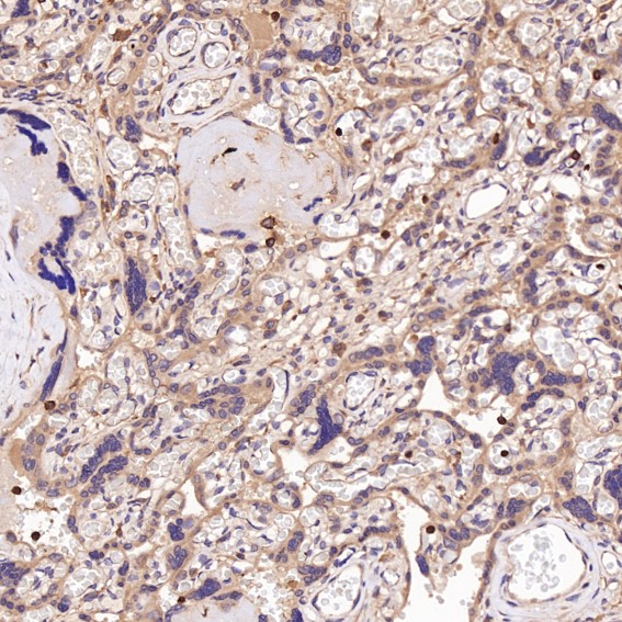
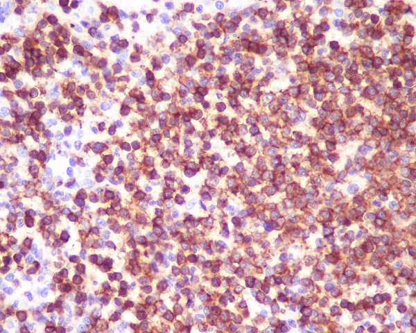
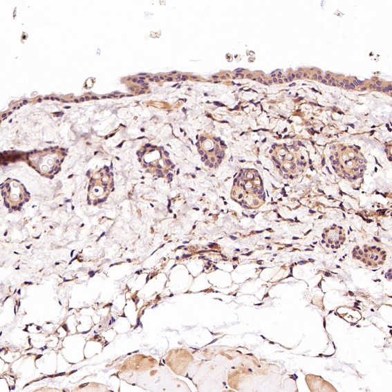
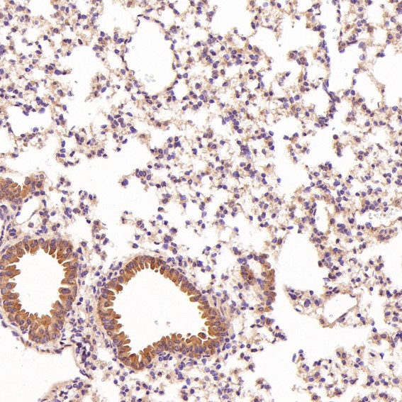
CD45 Antibody (CY5311) 

References 1
UniProt:P08575
Application:WB,IHC,ICC/IF,FC
Reactivity:Human
Source:Rabbit mAb
CD45 Antibody  (CY5311)
UniProt:P08575 
Application:WB,IHC,ICC/IF,FC
Reactivity:Human
Source:Rabbit mAb
References(1)
http://www.abways.cn/showproduct.asp?cid=CY5311

< Prev1Next >