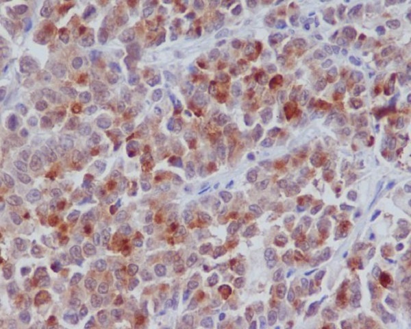
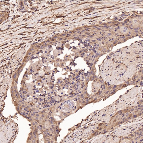
Cyclin B1 Antibody (CY5531)
References (2)
UniProt:P14635
Application:WB,IHC,ICC/IF,FC
Reactivity:Human,Mouse
Source:Rabbit mAb
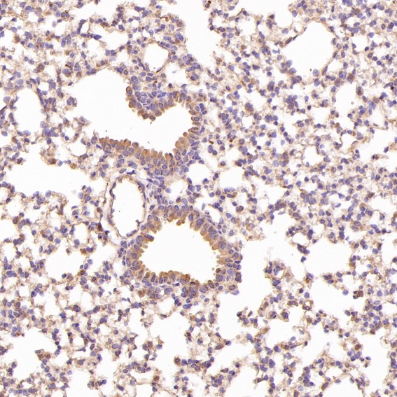
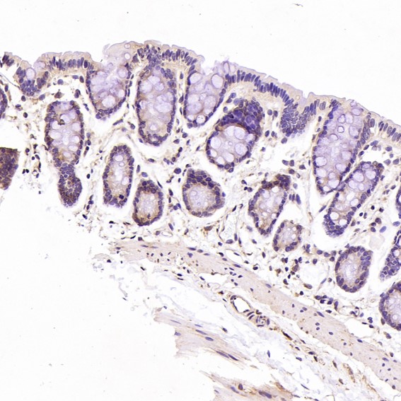
Cyclin B1 Antibody (CY5531)
UniProt:P14635
Application:WB,IHC,ICC/IF,FC
Reactivity:Human,Mouse
Source:Rabbit mAb
References(2)
http://www.abways.cn/showproduct.asp?cid=CY5531
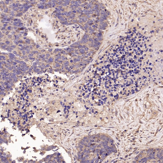
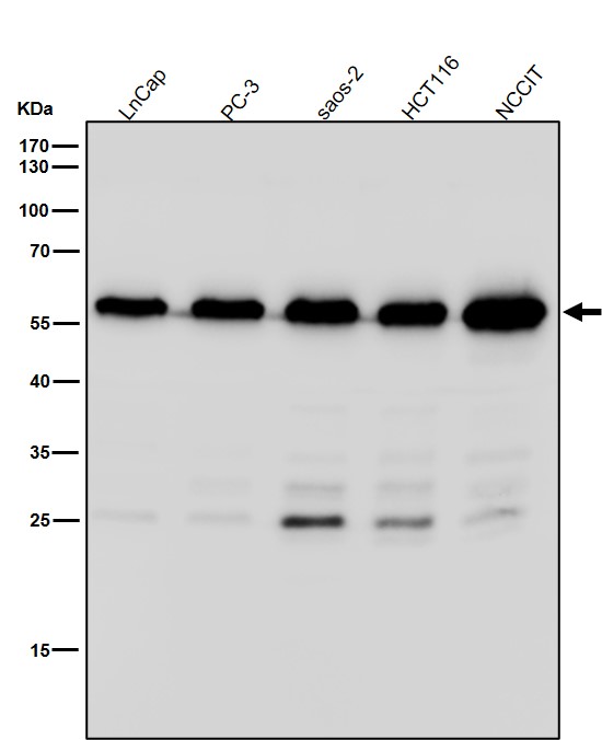
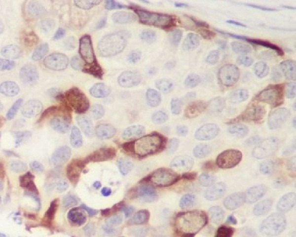
Cyclin B1 Antibody (CY5378)
References (4)
UniProt:P14635
Application:WB,IHC,ICC/IF,IP,FC
Reactivity:Human
Source:Rabbit mAb
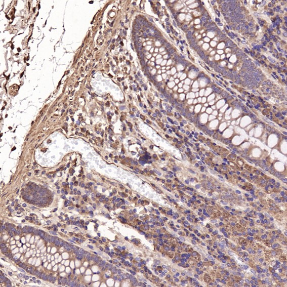
Cyclin B1 Antibody (CY5378)
UniProt:P14635
Application:WB,IHC,ICC/IF,IP,FC
Reactivity:Human
Source:Rabbit mAb
References(4)
http://www.abways.cn/showproduct.asp?cid=CY5378
< Prev1Next >

























销售咨询
一键电话