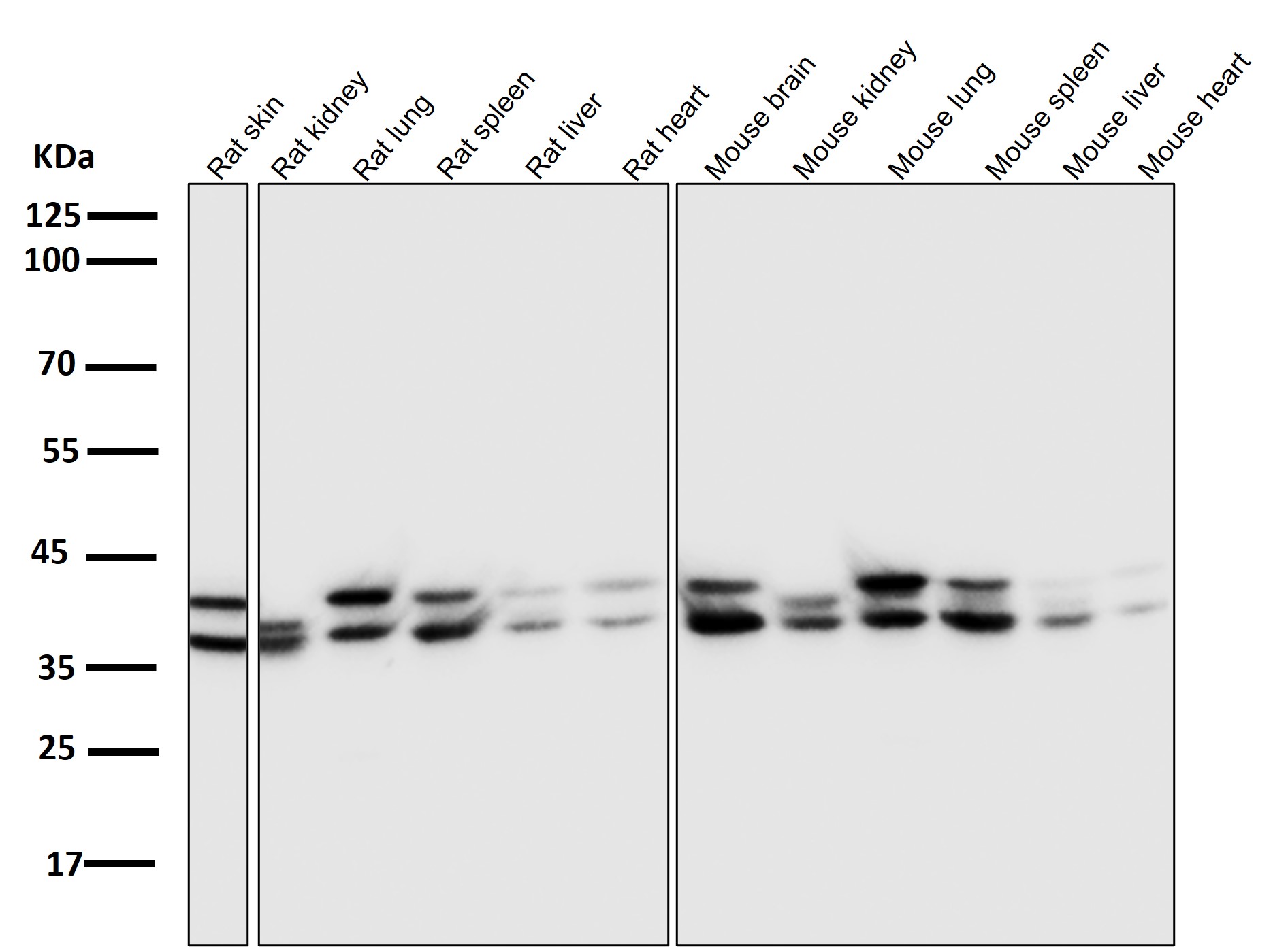
ERK1/2 Antibody (CY5487)
References (18)
UniProt:P27361/P28482
Application:WB,ICC/IF,IP,FC
Reactivity:Human,Mouse,Rat
Source:Rabbit mAb
ERK1/2 Antibody (CY5487)
UniProt:P27361/P28482
Application:WB,ICC/IF,IP,FC
Reactivity:Human,Mouse,Rat
Source:Rabbit mAb
References(18)
http://www.abways.cn/showproduct.asp?cid=CY5487
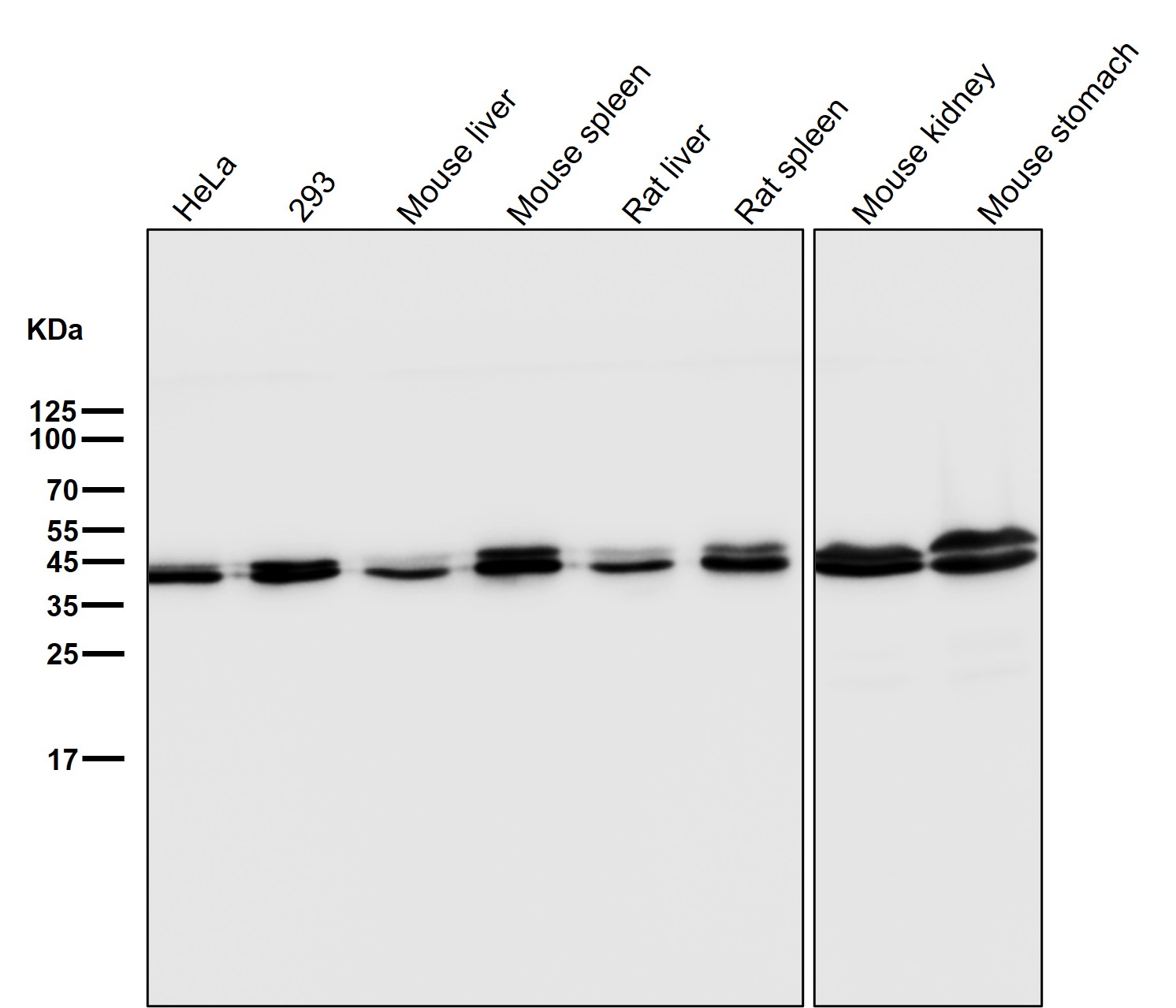
Phospho-Erk1 (T202/Y204) + Erk2 (T185/Y187) Antibody (CY5277)
References (17)
UniProt:P27361/P28482
Application:WB,IP
Reactivity:Human,Mouse,Rat
Source:Rabbit mAb
Phospho-Erk1 (T202/Y204) + Erk2 (T185/Y187) Antibody (CY5277)
UniProt:P27361/P28482
Application:WB,IP
Reactivity:Human,Mouse,Rat
Source:Rabbit mAb
References(17)
http://www.abways.cn/showproduct.asp?cid=CY5277
< Prev1Next >




















销售咨询
一键电话