显示

产品筛选

  产品类别
  •   (2)
  •   (0)
  •   (0)
  •   (0)
  •   (0)
  •   (0)
  克隆性
  应用
  种属
  修饰
  宿主

Option

  • UniProt
    P27986
  • Source
    Rabbit mAb

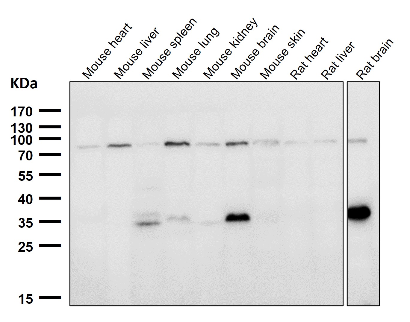
PI3 Kinase p85 alpha Antibody (CY6915) 

References 4
UniProt:P27986
Application:WB
Reactivity:Human,Mouse,Rat
Source:Rabbit mAb
PI3 Kinase p85 alpha Antibody (CY6915)
UniProt:P27986
Application:WB
Reactivity:Human,Mouse,Rat
Source:Rabbit mAb
References(4)
http://www.abways.cn/showproduct.asp?cid=CY6915

PI 3 Kinase p85 alpha Antibody (CY5355) 

References 9
UniProt:P27986
Application:WB
Reactivity:Human,Mouse,Rat
Source:Rabbit mAb
PI 3 Kinase p85 alpha Antibody (CY5355)
UniProt:P27986
Application:WB
Reactivity:Human,Mouse,Rat
Source:Rabbit mAb
References(9)
http://www.abways.cn/showproduct.asp?cid=CY5355

< Prev1Next >