单克隆抗体
MUC16 Antibody (CY5738)
UniProt:Q8WXI7
Application:WB,ICC/IF,FC
Reactivity:Human
Source:Rabbit mAb
http://www.abways.cn/showproduct.asp?cid=CY5738
NOX2/CYBB/gp91phox Antibody (CY5739)
References (4)
UniProt:P04839
Application:WB
Reactivity:Human,Mouse,Rat
Source:Rabbit mAb
NOX2/CYBB/gp91phox Antibody (CY5739)
UniProt:P04839
Application:WB
Reactivity:Human,Mouse,Rat
Source:Rabbit mAb
References(4)
http://www.abways.cn/showproduct.asp?cid=CY5739
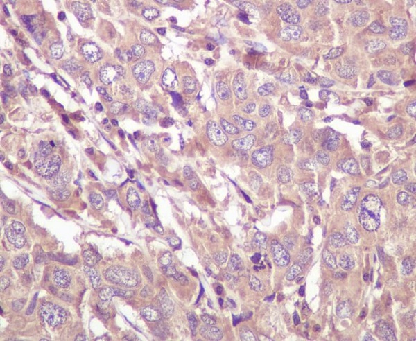
Caspase 5 Antibody (CY5740)
UniProt:P51878
Application:WB,IHC,ICC/IF,IP
Reactivity:Human
Source:Rabbit mAb
Caspase 5 Antibody (CY5740)
UniProt:P51878
Application:WB,IHC,ICC/IF,IP
Reactivity:Human
Source:Rabbit mAb
http://www.abways.cn/showproduct.asp?cid=CY5740
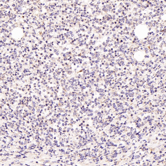
Cytokeratin 6 Antibody (CY5741)
UniProt:P02538
Application:WB,IHC,ICC/IF
Reactivity:Human
Source:Rabbit mAb
Cytokeratin 6 Antibody (CY5741)
UniProt:P02538
Application:WB,IHC,ICC/IF
Reactivity:Human
Source:Rabbit mAb
http://www.abways.cn/showproduct.asp?cid=CY5741
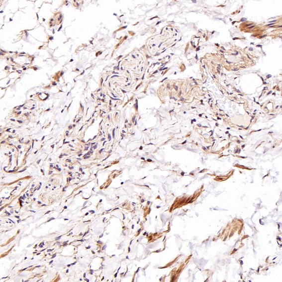
CD81 Antibody (CY5742)
UniProt:P60033
Application:WB,IHC,ICC/IF,FC
Reactivity:Human,Mouse,Rat
Source:Rabbit mAb
CD81 Antibody (CY5742)
UniProt:P60033
Application:WB,IHC,ICC/IF,FC
Reactivity:Human,Mouse,Rat
Source:Rabbit mAb
http://www.abways.cn/showproduct.asp?cid=CY5742




















销售咨询
一键电话