单克隆抗体
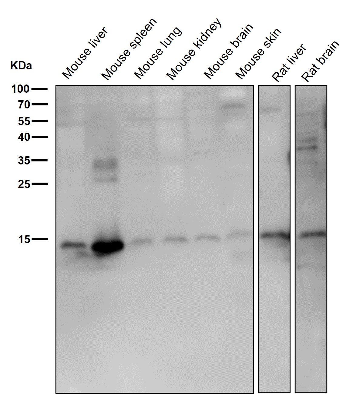
Iba1 Antibody (CY8087)
UniProt:P55008/O70200
Application:WB,IHC,ICC/IF
Reactivity:Human,Mouse,Rat
Source:Rabbit mAb
Iba1 Antibody (CY8087)
UniProt:P55008/O70200
Application:WB,IHC,ICC/IF
Reactivity:Human,Mouse,Rat
Source:Rabbit mAb
http://www.abways.cn/showproduct.asp?cid=CY8087
CYP26A1 Antibody (CY8088)
UniProt:O43174
Application:WB,IHC
Reactivity:Human,Rat
Source:Rabbit mAb
http://www.abways.cn/showproduct.asp?cid=CY8088
SFPQ Antibody (CY8089)
UniProt:P23246
Application:WB,IHC,ICC/IF
Reactivity:Human,Mouse,Rat
Source:Rabbit mAb
SFPQ Antibody (CY8089)
UniProt:P23246
Application:WB,IHC,ICC/IF
Reactivity:Human,Mouse,Rat
Source:Rabbit mAb
http://www.abways.cn/showproduct.asp?cid=CY8089
ATP1A2 Antibody (CY8090)
UniProt:P50993
Application:WB
Reactivity:Human,Mouse,Rat
Source:Rabbit mAb
http://www.abways.cn/showproduct.asp?cid=CY8090
IGFBP7 Antibody (CY8091)
UniProt:Q16270
Application:WB,IHC,ICC/IF,FC
Reactivity:Human,Mouse,Rat
Source:Rabbit mAb
IGFBP7 Antibody (CY8091)
UniProt:Q16270
Application:WB,IHC,ICC/IF,FC
Reactivity:Human,Mouse,Rat
Source:Rabbit mAb
http://www.abways.cn/showproduct.asp?cid=CY8091
















销售咨询
一键电话