单克隆抗体
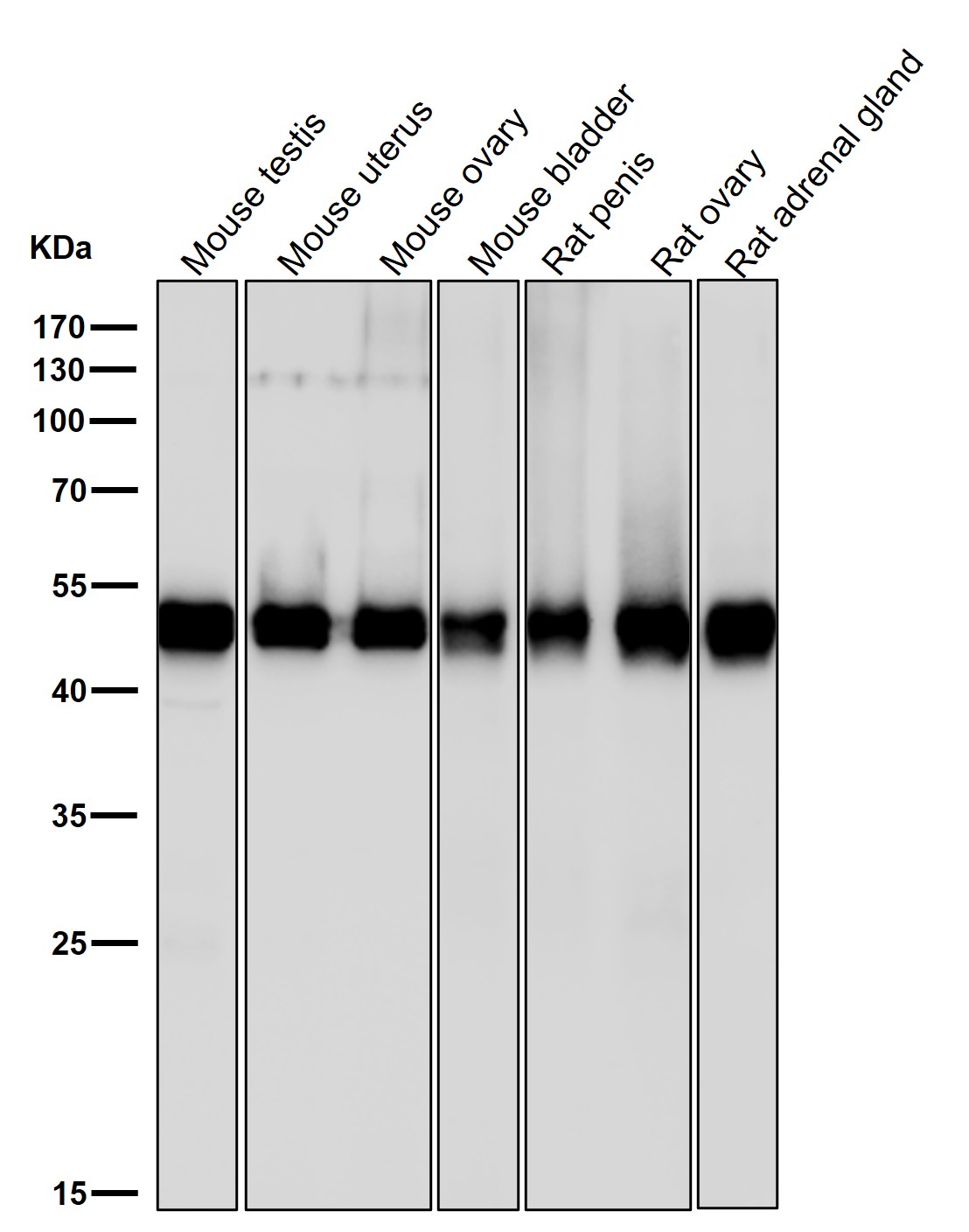
WIF1 Antibody (CY8778)
UniProt:Q9Y5W5
Application:WB,IP
Reactivity:Human,Mouse,Rat
Source:Rabbit mAb
WIF1 Antibody (CY8778)
UniProt:Q9Y5W5
Application:WB,IP
Reactivity:Human,Mouse,Rat
Source:Rabbit mAb
http://www.abways.cn/showproduct.asp?cid=CY8778
TLE1 Antibody (CY8779)
UniProt:Q04724
Application:WB,IHC,ICC/IF
Reactivity:Human,Mouse,Rat
Source:Rabbit mAb
TLE1 Antibody (CY8779)
UniProt:Q04724
Application:WB,IHC,ICC/IF
Reactivity:Human,Mouse,Rat
Source:Rabbit mAb
http://www.abways.cn/showproduct.asp?cid=CY8779
SFRP4 Antibody (CY8780)
UniProt:Q6FHJ7
Application:WB,IHC,ICC/IF,FC
Reactivity:Human,Mouse,Rat
Source:Rabbit mAb
SFRP4 Antibody (CY8780)
UniProt:Q6FHJ7
Application:WB,IHC,ICC/IF,FC
Reactivity:Human,Mouse,Rat
Source:Rabbit mAb
http://www.abways.cn/showproduct.asp?cid=CY8780
CYP24A1 Antibody (CY8781)
UniProt:Q07973
Application:WB
Reactivity:Human
Source:Rabbit mAb
http://www.abways.cn/showproduct.asp?cid=CY8781
eEF1A1 Antibody (CY8782)
UniProt:P68104
Application:WB,IHC,ICC/IF,IP,FC
Reactivity:Human,Mouse,Rat
Source:Rabbit mAb
eEF1A1 Antibody (CY8782)
UniProt:P68104
Application:WB,IHC,ICC/IF,IP,FC
Reactivity:Human,Mouse,Rat
Source:Rabbit mAb
http://www.abways.cn/showproduct.asp?cid=CY8782



















销售咨询
一键电话