单克隆抗体
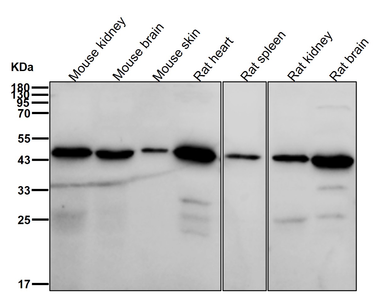
TUB1 Antibody (DY1350)
UniProt:P50607
Application:WB,IHC
Reactivity:Human,Mouse,Rat
Source:Rabbit mAb
TUB1 Antibody (DY1350)
UniProt:P50607
Application:WB,IHC
Reactivity:Human,Mouse,Rat
Source:Rabbit mAb
http://www.abways.cn/showproduct.asp?cid=DY1350
IL26 Antibody (DY1351)
UniProt:Q9NPH9
Application:WB
Reactivity:Human
Source:Rabbit mAb
http://www.abways.cn/showproduct.asp?cid=DY1351
LTB4R Antibody (DY1352)
UniProt:Q15722
Application:WB,IHC
Reactivity:Human
Source:Rabbit mAb
http://www.abways.cn/showproduct.asp?cid=DY1352
ARPC2 Antibody (DY1354)
UniProt:O15144
Application:WB,IHC,ICC/IF,IP,FC
Reactivity:Human,Mouse,Rat
Source:Rabbit mAb
ARPC2 Antibody (DY1354)
UniProt:O15144
Application:WB,IHC,ICC/IF,IP,FC
Reactivity:Human,Mouse,Rat
Source:Rabbit mAb
http://www.abways.cn/showproduct.asp?cid=DY1354
Fukutin Antibody (DY1356)
UniProt:O75072
Application:WB,IHC
Reactivity:Human,Mouse,Rat
Source:Rabbit mAb
Fukutin Antibody (DY1356)
UniProt:O75072
Application:WB,IHC
Reactivity:Human,Mouse,Rat
Source:Rabbit mAb
http://www.abways.cn/showproduct.asp?cid=DY1356















销售咨询
一键电话