单克隆抗体
KDM1/LSD1 Mouse mAb (AB3103)
UniProt:O60341
Application:WB,ICC/IF,IP
Reactivity:Human,Monkey
Source:Mouse mAb
KDM1/LSD1 Mouse mAb (AB3103)
UniProt:O60341
Application:WB,ICC/IF,IP
Reactivity:Human,Monkey
Source:Mouse mAb
http://www.abways.cn/showproduct.asp?cid=AB3103
JMJD6(N-term) Mouse mAb (AB3104)
UniProt:Q6NYC1
Application:WB,ICC/IF
Reactivity:Human
Source:Mouse mAb
JMJD6(N-term) Mouse mAb (AB3104)
UniProt:Q6NYC1
Application:WB,ICC/IF
Reactivity:Human
Source:Mouse mAb
http://www.abways.cn/showproduct.asp?cid=AB3104
TBL1 Mouse mAb (AB3105)
UniProt:O60907
Application:WB,ICC/IF
Reactivity:Human
Source:Mouse mAb
http://www.abways.cn/showproduct.asp?cid=AB3105
TFIIB Mouse mAb (AB3106)
UniProt:Q00403
Application:WB
Reactivity:Human,Mouse,Monkey
Source:Mouse mAb
TFIIB Mouse mAb (AB3106)
UniProt:Q00403
Application:WB
Reactivity:Human,Mouse,Monkey
Source:Mouse mAb
http://www.abways.cn/showproduct.asp?cid=AB3106
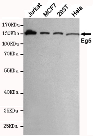
Eg5 Mouse mAb (AB3108)
UniProt:P52732
Application:WB,ICC/IF,IP
Reactivity:Human
Source:Mouse mAb
http://www.abways.cn/showproduct.asp?cid=AB3108














销售咨询
一键电话