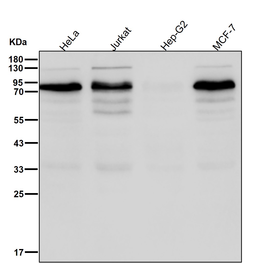
FoxO3a Antibody (CY5898)
UniProt:O43524
Application:WB,ICC/IF
Reactivity:Human,Mouse,Rat
Source:Rabbit mAb
FoxO3a Antibody (CY5898)
UniProt:O43524
Application:WB,ICC/IF
Reactivity:Human,Mouse,Rat
Source:Rabbit mAb
http://www.abways.cn/showproduct.asp?cid=CY5898
Phospho-FoxO3a (S253) Antibody (CY5562)
References (1)
UniProt:O43524
Application:WB,IHC
Reactivity:Human,Mouse,Rat
Source:Rabbit mAb
Phospho-FoxO3a (S253) Antibody (CY5562)
UniProt:O43524
Application:WB,IHC
Reactivity:Human,Mouse,Rat
Source:Rabbit mAb
References(1)
http://www.abways.cn/showproduct.asp?cid=CY5562
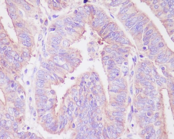
FoxO3a Antibody (CY5079)
References (1)
UniProt:O43524
Application:WB,IHC,ICC/IF
Reactivity:Human
Source:Rabbit mAb
FoxO3a Antibody (CY5079)
UniProt:O43524
Application:WB,IHC,ICC/IF
Reactivity:Human
Source:Rabbit mAb
References(1)
http://www.abways.cn/showproduct.asp?cid=CY5079
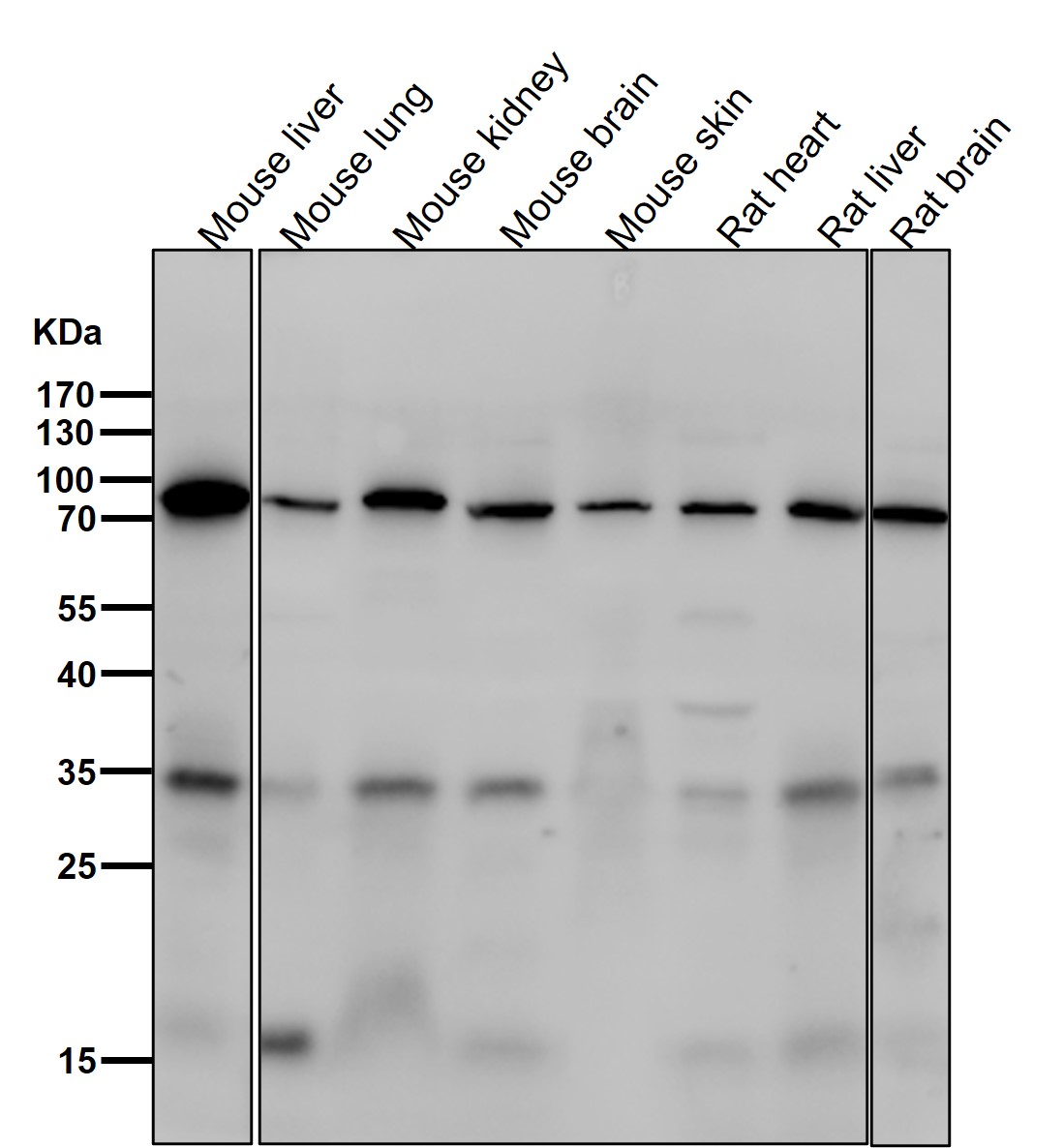
Phospho-FKHRL1 (Ser253) Antibody (CY6219)
UniProt:O43524
Application:WB,IHC
Reactivity:Human,Mouse,Rat
Source:Rabbit pAb
Phospho-FKHRL1 (Ser253) Antibody (CY6219)
UniProt:O43524
Application:WB,IHC
Reactivity:Human,Mouse,Rat
Source:Rabbit pAb
http://www.abways.cn/showproduct.asp?cid=CY6219
< Prev1Next >




















销售咨询
一键电话