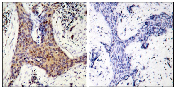
Phospho-Bad (S112) Antibody (CY7226)
UniProt:Q92934
Application:WB,IP
Reactivity:Human,Mouse,Rat
Source:Rabbit mAb
Phospho-Bad (S112) Antibody (CY7226)
UniProt:Q92934
Application:WB,IP
Reactivity:Human,Mouse,Rat
Source:Rabbit mAb
http://www.abways.cn/showproduct.asp?cid=CY7226
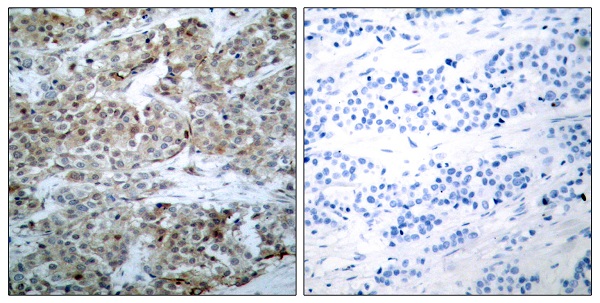
Bad Antibody (CY5366)
References (1)
UniProt:Q92934
Application:WB,IHC,ICC/IF,IP,FC
Reactivity:Human,Mouse,Rat
Source:Rabbit mAb
Bad Antibody (CY5366)
UniProt:Q92934
Application:WB,IHC,ICC/IF,IP,FC
Reactivity:Human,Mouse,Rat
Source:Rabbit mAb
References(1)
http://www.abways.cn/showproduct.asp?cid=CY5366
Phospho-BAD (Ser136) Antibody (AY0904)
UniProt:Q92934
Application:WB,IHC
Reactivity:Human:S99,Mouse:S136,Rat:S137
Source:Rabbit pAb
Phospho-BAD (Ser136) Antibody (AY0904)
UniProt:Q92934
Application:WB,IHC
Reactivity:Human:S99,Mouse:S136,Rat:S137
Source:Rabbit pAb
http://www.abways.cn/showproduct.asp?cid=AY0904
Phospho-BAD (Ser112) Antibody (AY0903)
UniProt:Q92934
Application:WB,IHC
Reactivity:Human:S75,Mouse:S112,Rat:S113
Source:Rabbit pAb
Phospho-BAD (Ser112) Antibody (AY0903)
UniProt:Q92934
Application:WB,IHC
Reactivity:Human:S75,Mouse:S112,Rat:S113
Source:Rabbit pAb
http://www.abways.cn/showproduct.asp?cid=AY0903
Phospho-BAD (Ser91/128) Antibody (AY0902)
UniProt:Q92934
Application:WB,IHC
Reactivity:Human:S91,Mouse:S128,Rat:S129,
Source:Rabbit pAb
Phospho-BAD (Ser91/128) Antibody (AY0902)
UniProt:Q92934
Application:WB,IHC
Reactivity:Human:S91,Mouse:S128,Rat:S129,
Source:Rabbit pAb
http://www.abways.cn/showproduct.asp?cid=AY0902
BAD Antibody (AY0901)
UniProt:Q92934
Application:IHC,ELISA
Reactivity:Human,Mouse,Rat
Source:Rabbit pAb
BAD Antibody (AY0901)
UniProt:Q92934
Application:IHC,ELISA
Reactivity:Human,Mouse,Rat
Source:Rabbit pAb
http://www.abways.cn/showproduct.asp?cid=AY0901
< Prev1Next >


















销售咨询
一键电话