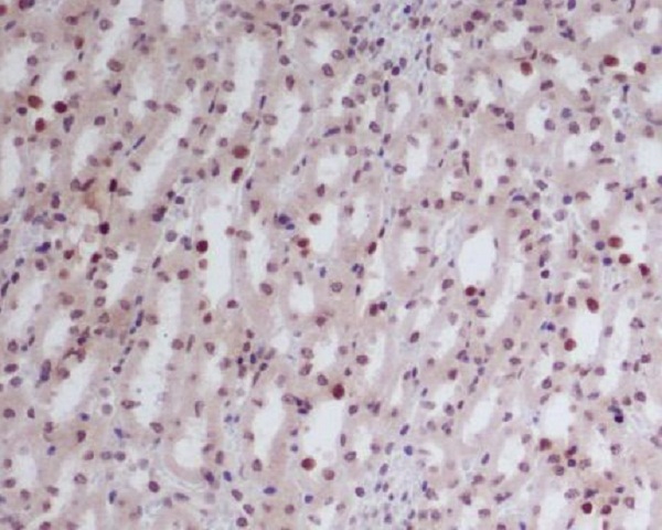
单克隆抗体
GATA2/3 Antibody (CY5503)
UniProt:P23769/P23771
Application:WB,IHC,ICC/IF,IP
Reactivity:Human,Mouse,Rat
Source:Rabbit mAb
GATA2/3 Antibody (CY5503)
UniProt:P23769/P23771
Application:WB,IHC,ICC/IF,IP
Reactivity:Human,Mouse,Rat
Source:Rabbit mAb
http://www.abways.cn/showproduct.asp?cid=CY5503
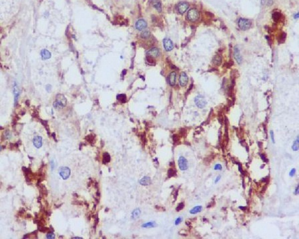
Histone H4 (tri methyl K20) Antibody (CY5504)
UniProt:P62805
Application:WB,IHC
Reactivity:Human,Mouse,Rat
Source:Rabbit mAb
Histone H4 (tri methyl K20) Antibody (CY5504)
UniProt:P62805
Application:WB,IHC
Reactivity:Human,Mouse,Rat
Source:Rabbit mAb
http://www.abways.cn/showproduct.asp?cid=CY5504
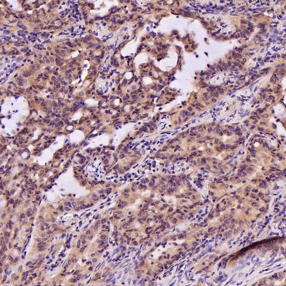
PI 3 Kinase p55 gamma Antibody (CY5505)
UniProt:Q92569
Application:WB,IHC,ICC/IF
Reactivity:Human,Mouse,Rat
Source:Rabbit mAb
PI 3 Kinase p55 gamma Antibody (CY5505)
UniProt:Q92569
Application:WB,IHC,ICC/IF
Reactivity:Human,Mouse,Rat
Source:Rabbit mAb
http://www.abways.cn/showproduct.asp?cid=CY5505
Histone H3 (acetyl K4) Antibody (CY5506)
UniProt:P68431
Application:WB,ICC/IF
Reactivity:Human,Mouse
Source:Rabbit mAb
Histone H3 (acetyl K4) Antibody (CY5506)
UniProt:P68431
Application:WB,ICC/IF
Reactivity:Human,Mouse
Source:Rabbit mAb
http://www.abways.cn/showproduct.asp?cid=CY5506
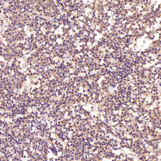
IRF1 Antibody (CY5507)
UniProt:P10914
Application:WB,IHC,ICC/IF,IP,FC
Reactivity:Human,Mouse,Rat
Source:Rabbit mAb
IRF1 Antibody (CY5507)
UniProt:P10914
Application:WB,IHC,ICC/IF,IP,FC
Reactivity:Human,Mouse,Rat
Source:Rabbit mAb
http://www.abways.cn/showproduct.asp?cid=CY5507
































销售咨询
一键电话