单克隆抗体
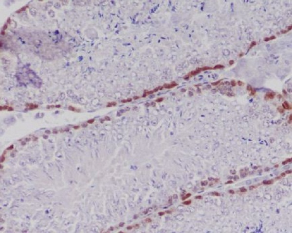
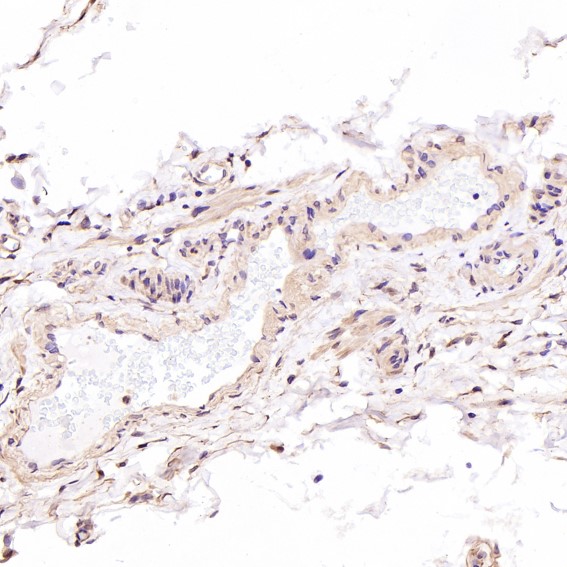
MLKL Antibody (CY5493)
References (1)
UniProt:Q8NB16
Application:WB,IHC
Reactivity:Human
Source:Rabbit mAb
MLKL Antibody (CY5493)
UniProt:Q8NB16
Application:WB,IHC
Reactivity:Human
Source:Rabbit mAb
References(1)
http://www.abways.cn/showproduct.asp?cid=CY5493
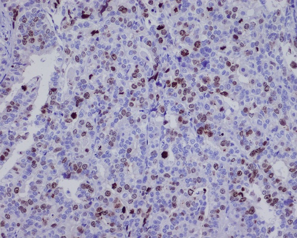
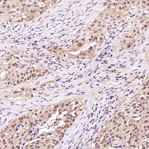
Caspase-2 Antibody (CY5494)
UniProt:P42575
Application:WB,IHC,ICC/IF,FC
Reactivity:Human,Mouse,Rat
Source:Rabbit mAb
Caspase-2 Antibody (CY5494)
UniProt:P42575
Application:WB,IHC,ICC/IF,FC
Reactivity:Human,Mouse,Rat
Source:Rabbit mAb
http://www.abways.cn/showproduct.asp?cid=CY5494
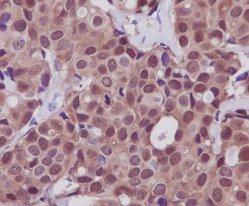
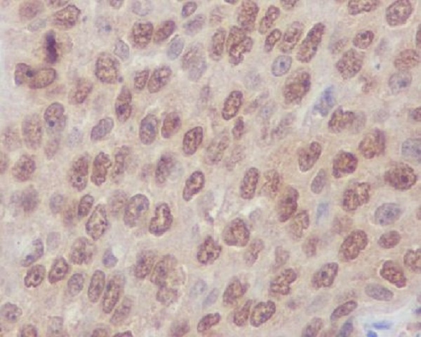
Survivin Antibody (CY5495)
UniProt:O70201(mouse)(human:O15392)
Application:WB,IHC,IP
Reactivity:Mouse,Rat
Source:Rabbit mAb
Survivin Antibody (CY5495)
UniProt:O70201(mouse)(human:O15392)
Application:WB,IHC,IP
Reactivity:Mouse,Rat
Source:Rabbit mAb
http://www.abways.cn/showproduct.asp?cid=CY5495
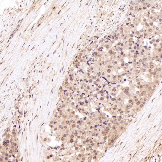
Hsp70 Antibody (CY5496)
UniProt:P0DMV8/P0DMV9
Application:WB,IHC,ICC/IF,FC
Reactivity:Human,Mouse,Rat
Source:Rabbit mAb
Hsp70 Antibody (CY5496)
UniProt:P0DMV8/P0DMV9
Application:WB,IHC,ICC/IF,FC
Reactivity:Human,Mouse,Rat
Source:Rabbit mAb
http://www.abways.cn/showproduct.asp?cid=CY5496
Rho A + B + C Antibody (CY5497)
UniProt:P61586/P62745/P08134
Application:WB,IHC,ICC/IF,FC
Reactivity:Human,Mouse,Rat
Source:Rabbit mAb
Rho A + B + C Antibody (CY5497)
UniProt:P61586/P62745/P08134
Application:WB,IHC,ICC/IF,FC
Reactivity:Human,Mouse,Rat
Source:Rabbit mAb
http://www.abways.cn/showproduct.asp?cid=CY5497






























销售咨询
一键电话