单克隆抗体
HIF-1 beta Antibody (CY5538)
UniProt:P27540
Application:WB,IHC
Reactivity:Human
Source:Rabbit mAb
http://www.abways.cn/showproduct.asp?cid=CY5538
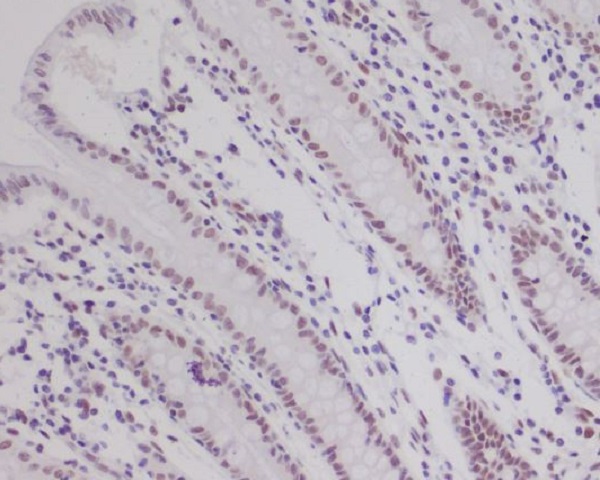
p53 (acetyl K382) Antibody (CY5539)
UniProt:P04637
Application:WB,IHC,ICC/IF
Reactivity:Human
Source:Rabbit mAb
p53 (acetyl K382) Antibody (CY5539)
UniProt:P04637
Application:WB,IHC,ICC/IF
Reactivity:Human
Source:Rabbit mAb
http://www.abways.cn/showproduct.asp?cid=CY5539
CD8 Antibody (CY5540)
References (1)
UniProt:P01732
Application:WB,IHC,ICC/IF
Reactivity:Human
Source:Rabbit mAb
CD8 Antibody (CY5540)
UniProt:P01732
Application:WB,IHC,ICC/IF
Reactivity:Human
Source:Rabbit mAb
References(1)
http://www.abways.cn/showproduct.asp?cid=CY5540
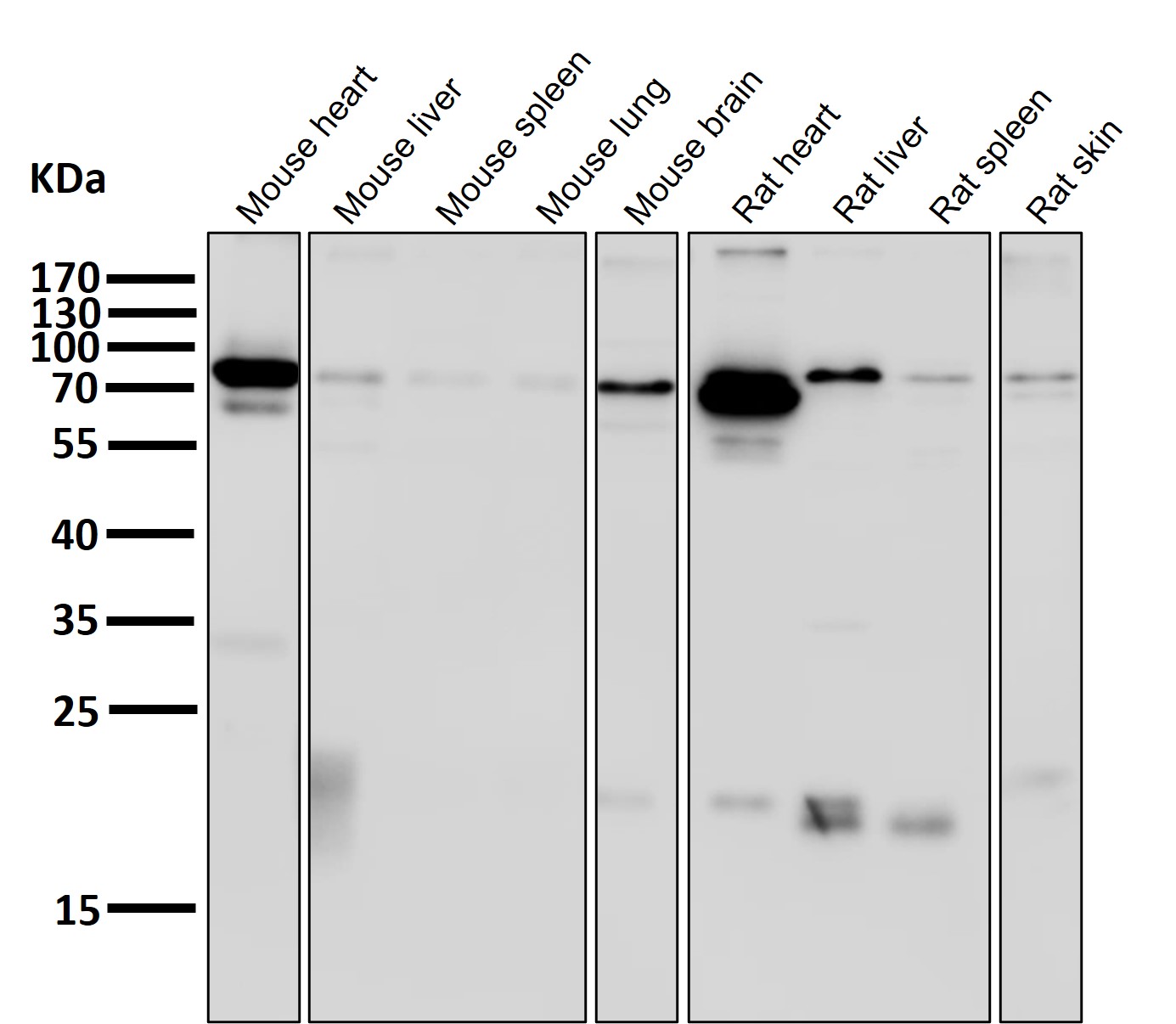
Phospho-JNK1/2/3 (T183+T183+T221) Antibody (CY5541)
References (8)
UniProt:P45983/P45984/P53779
Application:WB,IHC,ICC/IF,IP,FC
Reactivity:Human,Mouse,Rat
Source:Rabbit mAb
Phospho-JNK1/2/3 (T183+T183+T221) Antibody (CY5541)
UniProt:P45983/P45984/P53779
Application:WB,IHC,ICC/IF,IP,FC
Reactivity:Human,Mouse,Rat
Source:Rabbit mAb
References(8)
http://www.abways.cn/showproduct.asp?cid=CY5541
Ki67 Antibody (CY5542)
References (4)
UniProt:P46013
Application:WB,IHC,ICC/IF,FC
Reactivity:Human
Source:Rabbit mAb
Ki67 Antibody (CY5542)
UniProt:P46013
Application:WB,IHC,ICC/IF,FC
Reactivity:Human
Source:Rabbit mAb
References(4)
http://www.abways.cn/showproduct.asp?cid=CY5542





































销售咨询
一键电话