单克隆抗体
Cyclin H Antibody (CY5833)
UniProt:P51946
Application:WB,IHC,ICC/IF,IP,FC
Reactivity:Human,Mouse
Source:Rabbit mAb
Cyclin H Antibody (CY5833)
UniProt:P51946
Application:WB,IHC,ICC/IF,IP,FC
Reactivity:Human,Mouse
Source:Rabbit mAb
http://www.abways.cn/showproduct.asp?cid=CY5833
PDPK1 Antibody (CY5834)
References (1)
UniProt:O15530
Application:WB,IHC,ICC/IF
Reactivity:Human,Mouse,Rat
Source:Rabbit mAb
PDPK1 Antibody (CY5834)
UniProt:O15530
Application:WB,IHC,ICC/IF
Reactivity:Human,Mouse,Rat
Source:Rabbit mAb
References(1)
http://www.abways.cn/showproduct.asp?cid=CY5834
CDK6 Antibody (CY5835)
References (1)
UniProt:Q00534
Application:WB,IHC,ICC/IF,FC
Reactivity:Human
Source:Rabbit mAb
CDK6 Antibody (CY5835)
UniProt:Q00534
Application:WB,IHC,ICC/IF,FC
Reactivity:Human
Source:Rabbit mAb
References(1)
http://www.abways.cn/showproduct.asp?cid=CY5835
CDK4 Antibody (CY5836)
References (2)
UniProt:P11802
Application:WB,ICC/IF,IP,
Reactivity:Human,Mouse,Rat
Source:Rabbit mAb
CDK4 Antibody (CY5836)
UniProt:P11802
Application:WB,ICC/IF,IP,
Reactivity:Human,Mouse,Rat
Source:Rabbit mAb
References(2)
http://www.abways.cn/showproduct.asp?cid=CY5836
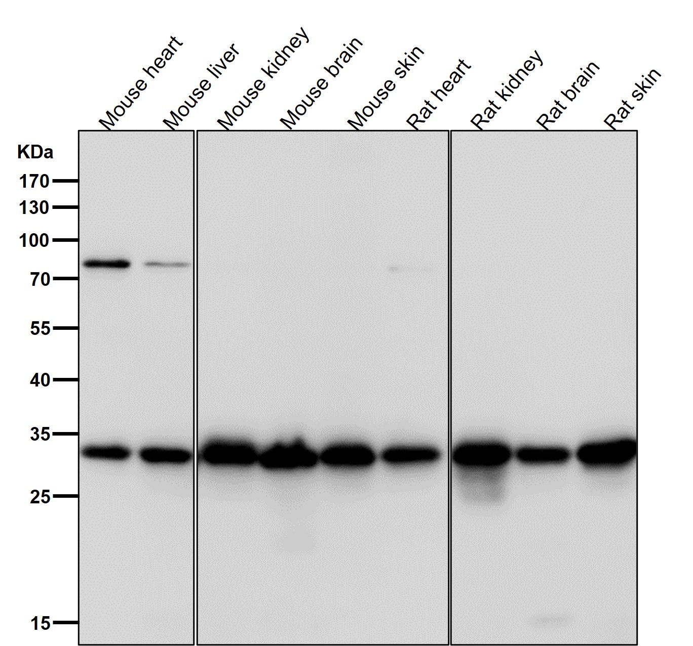
Cyclin A2 Antibody (CY5837)
UniProt:P20248
Application:WB,IHC,ICC/IF
Reactivity:Human,Mouse,Rat
Source:Rabbit mAb
Cyclin A2 Antibody (CY5837)
UniProt:P20248
Application:WB,IHC,ICC/IF
Reactivity:Human,Mouse,Rat
Source:Rabbit mAb
http://www.abways.cn/showproduct.asp?cid=CY5837


























销售咨询
一键电话