单克隆抗体
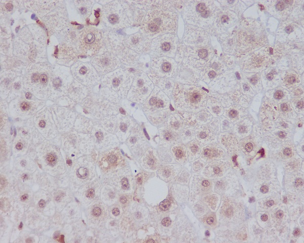
Phospho-ATM (S1981) Antibody (CY5111)
UniProt:Q13315
Application:WB,IHC,ICC/IF,IP
Reactivity:Human
Source:Rabbit mAb
Phospho-ATM (S1981) Antibody (CY5111)
UniProt:Q13315
Application:WB,IHC,ICC/IF,IP
Reactivity:Human
Source:Rabbit mAb
http://www.abways.cn/showproduct.asp?cid=CY5111
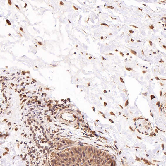
EGFR (ErbB 1) Antibody (CY5112)
References (3)
UniProt:P00533
Application:WB,IHC,ICC/IF,IP,FC
Reactivity:Human,Mouse,Rat
Source:Rabbit mAb
EGFR (ErbB 1) Antibody (CY5112)
UniProt:P00533
Application:WB,IHC,ICC/IF,IP,FC
Reactivity:Human,Mouse,Rat
Source:Rabbit mAb
References(3)
http://www.abways.cn/showproduct.asp?cid=CY5112
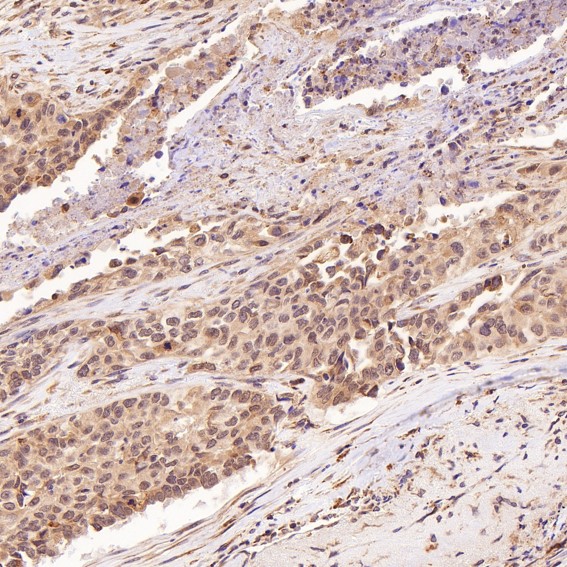
Heme Oxygenase 1 Antibody (CY5113)
References (3)
UniProt:P09601
Application:WB,IHC,IP,FC
Reactivity:Human,Mouse
Source:Rabbit mAb
Heme Oxygenase 1 Antibody (CY5113)
UniProt:P09601
Application:WB,IHC,IP,FC
Reactivity:Human,Mouse
Source:Rabbit mAb
References(3)
http://www.abways.cn/showproduct.asp?cid=CY5113
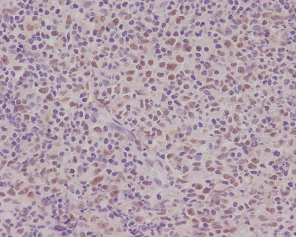
PMS2 Antibody (CY5114)
UniProt:P54278
Application:WB,IHC,ICC/IF,IP,FC
Reactivity:Human
Source:Rabbit mAb
PMS2 Antibody (CY5114)
UniProt:P54278
Application:WB,IHC,ICC/IF,IP,FC
Reactivity:Human
Source:Rabbit mAb
http://www.abways.cn/showproduct.asp?cid=CY5114
CD46 Antibody (CY5115)
UniProt:P15529
Application:WB,IHC,ICC/IF
Reactivity:Human
Source:Rabbit mAb
http://www.abways.cn/showproduct.asp?cid=CY5115





































销售咨询
一键电话