单克隆抗体
TGF beta Receptor II Antibody (CY6879)
References (1)
UniProt:P37173
Application:WB
Reactivity:Human
Source:Rabbit mAb
TGF beta Receptor II Antibody (CY6879)
UniProt:P37173
Application:WB
Reactivity:Human
Source:Rabbit mAb
References(1)
http://www.abways.cn/showproduct.asp?cid=CY6879
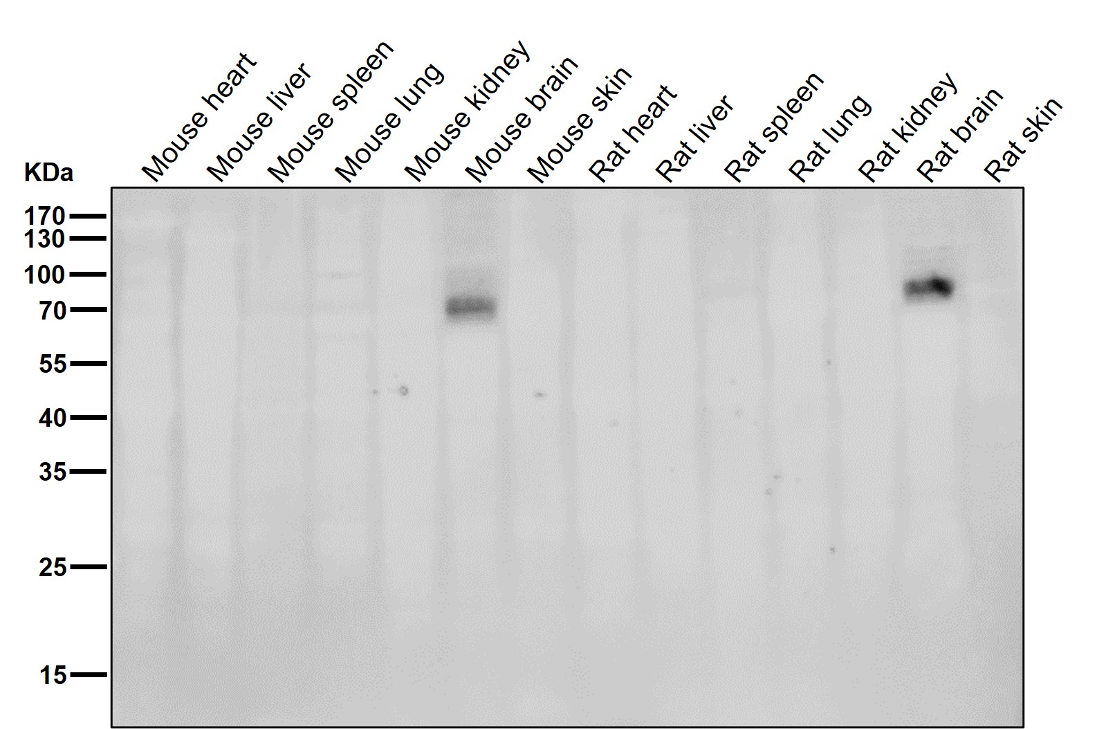
BACE1 Antibody (CY6880)
UniProt:P56817
Application:WB,IP
Reactivity:Human,Mouse,Rat
Source:Rabbit mAb
BACE1 Antibody (CY6880)
UniProt:P56817
Application:WB,IP
Reactivity:Human,Mouse,Rat
Source:Rabbit mAb
http://www.abways.cn/showproduct.asp?cid=CY6880
BubR1 Antibody (CY6881)
UniProt:O60566
Application:WB,IHC,IP,FC
Reactivity:Human,Mouse,Rat
Source:Rabbit mAb
BubR1 Antibody (CY6881)
UniProt:O60566
Application:WB,IHC,IP,FC
Reactivity:Human,Mouse,Rat
Source:Rabbit mAb
http://www.abways.cn/showproduct.asp?cid=CY6881
TLR9 Antibody (CY6882)
UniProt:Q9NR96
Application:WB
Reactivity:Human
Source:Rabbit mAb
http://www.abways.cn/showproduct.asp?cid=CY6882
Calpain 1 Antibody (CY6883)
UniProt:P07384
Application:WB,IHC,ICC/IF,FC
Reactivity:Human,Mouse,Rat
Source:Rabbit mAb
Calpain 1 Antibody (CY6883)
UniProt:P07384
Application:WB,IHC,ICC/IF,FC
Reactivity:Human,Mouse,Rat
Source:Rabbit mAb
http://www.abways.cn/showproduct.asp?cid=CY6883

















销售咨询
一键电话