单克隆抗体
Phospho-ERK1 (T202) + ERK2 (T185) Antibody (CY7165)
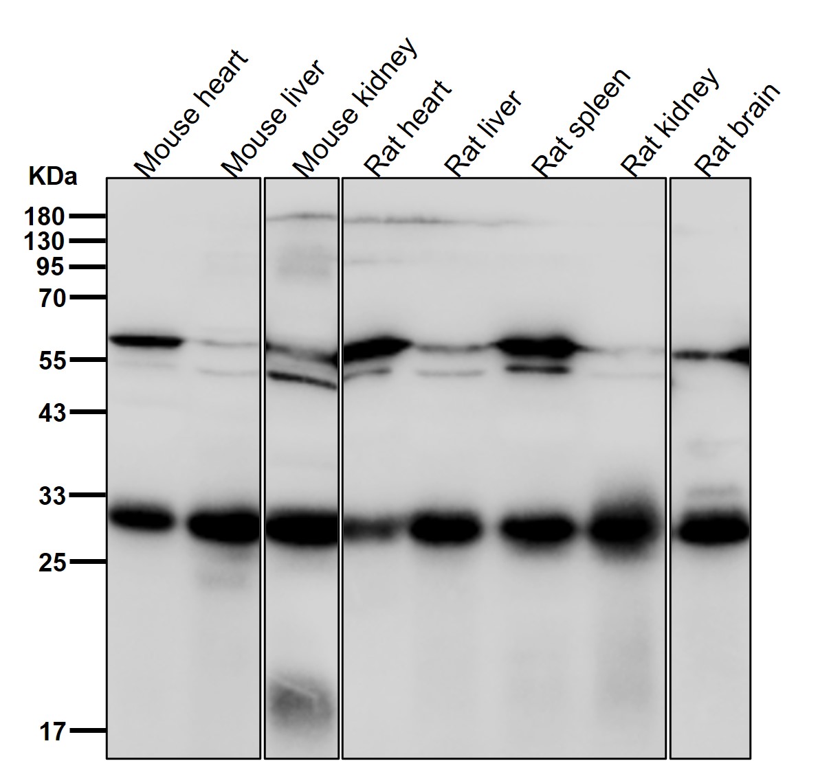
UniProt:P27361
Application:WB,IHC,ICC/IF,IP
Reactivity:Human,Mouse,Rat
Source:Rabbit mAb
Phospho-ERK1 (T202) + ERK2 (T185) Antibody (CY7165)
UniProt:P27361
Application:WB,IHC,ICC/IF,IP
Reactivity:Human,Mouse,Rat
Source:Rabbit mAb
http://www.abways.cn/showproduct.asp?cid=CY7165
IQGAP1 Antibody (CY7166)
UniProt:P46940
Application:WB,IHC,ICC/IF,FC
Reactivity:Human,Mouse
Source:Rabbit mAb
IQGAP1 Antibody (CY7166)
UniProt:P46940
Application:WB,IHC,ICC/IF,FC
Reactivity:Human,Mouse
Source:Rabbit mAb
http://www.abways.cn/showproduct.asp?cid=CY7166
SF2 Antibody (CY7167)
UniProt:Q07955
Application:WB,IHC,ICC/IF,FC
Reactivity:Human,Mouse,Rat
Source:Rabbit mAb
SF2 Antibody (CY7167)
UniProt:Q07955
Application:WB,IHC,ICC/IF,FC
Reactivity:Human,Mouse,Rat
Source:Rabbit mAb
http://www.abways.cn/showproduct.asp?cid=CY7167
NRF1 Antibody (CY7168)
UniProt:Q16656
Application:WB,IHC,ICC/IF,IP,FC
Reactivity:Human,Mouse,Rat
Source:Rabbit mAb
NRF1 Antibody (CY7168)
UniProt:Q16656
Application:WB,IHC,ICC/IF,IP,FC
Reactivity:Human,Mouse,Rat
Source:Rabbit mAb
http://www.abways.cn/showproduct.asp?cid=CY7168
KMT5A / SETD8 / Pr-SET7 Antibody (CY7169)
UniProt:Q9NQR1
Application:WB,FC
Reactivity:Human,Mouse,Rat
Source:Rabbit mAb
KMT5A / SETD8 / Pr-SET7 Antibody (CY7169)
UniProt:Q9NQR1
Application:WB,FC
Reactivity:Human,Mouse,Rat
Source:Rabbit mAb
http://www.abways.cn/showproduct.asp?cid=CY7169

















销售咨询
一键电话