单克隆抗体
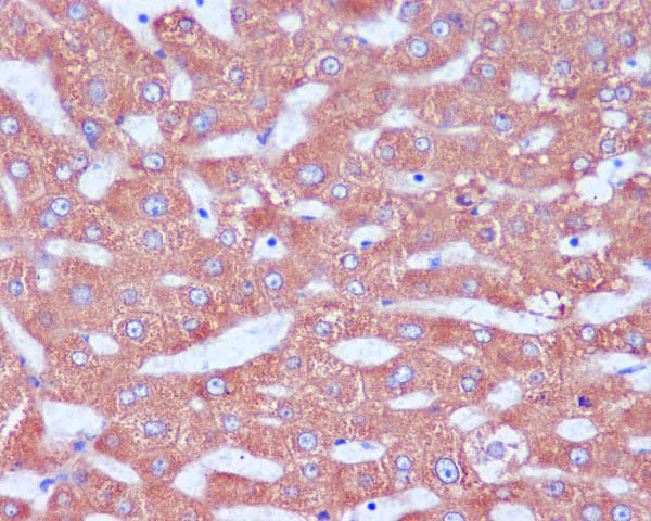
KDEL Antibody (CY5151)
UniProt:P24390
Application:WB,IHC,ICC/IF,FC
Reactivity:Human,Mouse,Rat
Source:Rabbit mAb
KDEL Antibody (CY5151)
UniProt:P24390
Application:WB,IHC,ICC/IF,FC
Reactivity:Human,Mouse,Rat
Source:Rabbit mAb
http://www.abways.cn/showproduct.asp?cid=CY5151
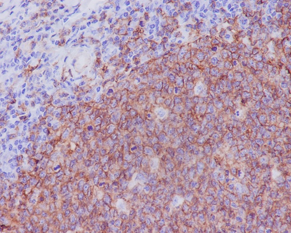
CD20 Antibody (CY5152)
UniProt:P11836
Application:WB,IHC,FC
Reactivity:Human
Source:Rabbit mAb
http://www.abways.cn/showproduct.asp?cid=CY5152
Galectin 1 (CY5153)
UniProt:P09382
Application:WB,IHC,IP,FC
Reactivity:Human,Mouse,Rat
Source:Rabbit mAb
Galectin 1 (CY5153)
UniProt:P09382
Application:WB,IHC,IP,FC
Reactivity:Human,Mouse,Rat
Source:Rabbit mAb
http://www.abways.cn/showproduct.asp?cid=CY5153
HDAC1 Antibody (CY5154)
UniProt:Q13547
Application:WB,IHC,ICC/IF
Reactivity:Human,Mouse,Rat
Source:Rabbit mAb
HDAC1 Antibody (CY5154)
UniProt:Q13547
Application:WB,IHC,ICC/IF
Reactivity:Human,Mouse,Rat
Source:Rabbit mAb
http://www.abways.cn/showproduct.asp?cid=CY5154
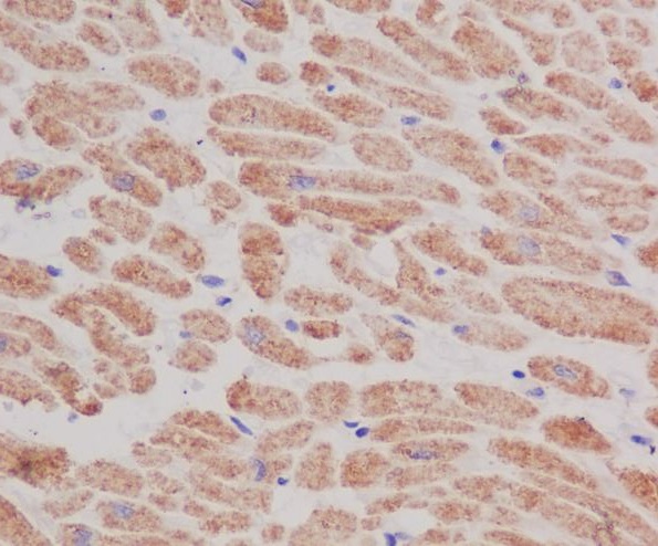
COX IV Antibody (CY5155)
UniProt:P13073
Application:WB,IHC,ICC/IF,IP,FC
Reactivity:Human,Mouse,Rat
Source:Rabbit mAb
COX IV Antibody (CY5155)
UniProt:P13073
Application:WB,IHC,ICC/IF,IP,FC
Reactivity:Human,Mouse,Rat
Source:Rabbit mAb
http://www.abways.cn/showproduct.asp?cid=CY5155
























销售咨询
一键电话