单克隆抗体
Phospho-MLKL (S345) Antibody (CY5146)
UniProt:Q9D2Y4(mouse)
Application:WB,IP
Reactivity:Mouse
Source:Rabbit mAb
Phospho-MLKL (S345) Antibody (CY5146)
UniProt:Q9D2Y4(mouse)
Application:WB,IP
Reactivity:Mouse
Source:Rabbit mAb
http://www.abways.cn/showproduct.asp?cid=CY5146
Filamin A antibody (CY5147)
UniProt:P21333
Application:WB,IHC,ICC/IF,FC
Reactivity:Human,Mouse,Rat
Source:Rabbit mAb
Filamin A antibody (CY5147)
UniProt:P21333
Application:WB,IHC,ICC/IF,FC
Reactivity:Human,Mouse,Rat
Source:Rabbit mAb
http://www.abways.cn/showproduct.asp?cid=CY5147
SHIP Antibody (CY5148)
UniProt:Q92835
Application:WB,IHC,IP,FC
Reactivity:Human
Source:Rabbit mAb
http://www.abways.cn/showproduct.asp?cid=CY5148
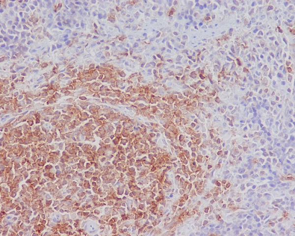
PMEL17 / GP100 Antibody (CY5149)
UniProt:P40967
Application:WB,IHC
Reactivity:Human
Source:Rabbit mAb
PMEL17 / GP100 Antibody (CY5149)
UniProt:P40967
Application:WB,IHC
Reactivity:Human
Source:Rabbit mAb
http://www.abways.cn/showproduct.asp?cid=CY5149
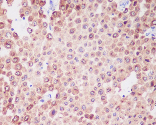
c-Myc Antibody (CY5150)
References (9)
UniProt:P01106
Application:WB,IHC,ICC/IF,IP,FC
Reactivity:Human,Mouse,Rat
Source:Rabbit mAb
c-Myc Antibody (CY5150)
UniProt:P01106
Application:WB,IHC,ICC/IF,IP,FC
Reactivity:Human,Mouse,Rat
Source:Rabbit mAb
References(9)
http://www.abways.cn/showproduct.asp?cid=CY5150


















销售咨询
一键电话