单克隆抗体
FGFR4 Mouse mAb (AB3495)
UniProt:P22455
Application:ICC/IF
Reactivity:Human
Source:Mouse mAb
http://www.abways.cn/showproduct.asp?cid=AB3495
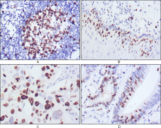
Ki67 (10B6) Mouse mAb (AB3496)
UniProt:P46013
Application:IHC
Reactivity:Human
Source:Mouse mAb
http://www.abways.cn/showproduct.asp?cid=AB3496
DDX4/MVH (9G4) Mouse mAb (AB3497)
UniProt:Q9NQI0
Application:IHC,ICC/IF,FC
Reactivity:Human
Source:Mouse mAb
DDX4/MVH (9G4) Mouse mAb (AB3497)
UniProt:Q9NQI0
Application:IHC,ICC/IF,FC
Reactivity:Human
Source:Mouse mAb
http://www.abways.cn/showproduct.asp?cid=AB3497
KLHL12 (10F10) Mouse mAb (AB3498)
UniProt:Q53G59
Application:WB
Reactivity:Human
Source:Mouse mAb
http://www.abways.cn/showproduct.asp?cid=AB3498
PINCH (3C12) Mouse mAb (AB3499)
UniProt:P48059
Application:WB,ICC/IF,FC,IP
Reactivity:Human
Source:Mouse mAb
PINCH (3C12) Mouse mAb (AB3499)
UniProt:P48059
Application:WB,ICC/IF,FC,IP
Reactivity:Human
Source:Mouse mAb
http://www.abways.cn/showproduct.asp?cid=AB3499















销售咨询
一键电话