单克隆抗体
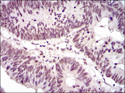
Nck (7H2) Mouse mAb (AB3500)
UniProt:P16333
Application:IHC,FC
Reactivity:Human,Monkey
Source:Mouse mAb
Nck (7H2) Mouse mAb (AB3500)
UniProt:P16333
Application:IHC,FC
Reactivity:Human,Monkey
Source:Mouse mAb
http://www.abways.cn/showproduct.asp?cid=AB3500
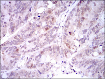
PLK1 (1F8) Mouse mAb (AB3501)
UniProt:P53350
Application:WB,IHC,FC
Reactivity:Human,Mouse
Source:Mouse mAb
PLK1 (1F8) Mouse mAb (AB3501)
UniProt:P53350
Application:WB,IHC,FC
Reactivity:Human,Mouse
Source:Mouse mAb
http://www.abways.cn/showproduct.asp?cid=AB3501
PHC1 (8G5) Mouse mAb (AB3502)
UniProt:P78364
Application:FC
Reactivity:Human
Source:Mouse mAb
http://www.abways.cn/showproduct.asp?cid=AB3502
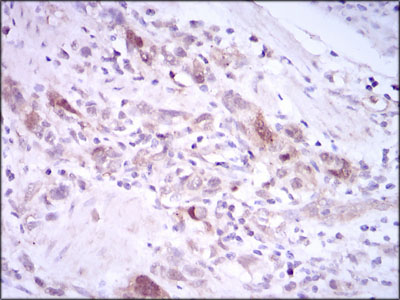
Galectin 3 (4B2) Mouse mAb (AB3504)
UniProt:P17931
Application:WB,IHC,ICC/IF,FC
Reactivity:Human
Source:Mouse mAb
Galectin 3 (4B2) Mouse mAb (AB3504)
UniProt:P17931
Application:WB,IHC,ICC/IF,FC
Reactivity:Human
Source:Mouse mAb
http://www.abways.cn/showproduct.asp?cid=AB3504
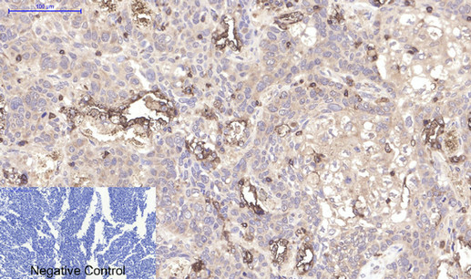
CD45 (8C1) Mouse mAb (AB3505)
UniProt:P06800
Application:WB,IHC,ICC/IF,FC
Reactivity:Human
Source:Mouse mAb
CD45 (8C1) Mouse mAb (AB3505)
UniProt:P06800
Application:WB,IHC,ICC/IF,FC
Reactivity:Human
Source:Mouse mAb
http://www.abways.cn/showproduct.asp?cid=AB3505



















销售咨询
一键电话