单克隆抗体
eNOS (2E8) Mouse mAb (AB3537)
UniProt:P29474
Application:WB
Reactivity:Human,Mouse,Rat
Source:Mouse mAb
eNOS (2E8) Mouse mAb (AB3537)
UniProt:P29474
Application:WB
Reactivity:Human,Mouse,Rat
Source:Mouse mAb
http://www.abways.cn/showproduct.asp?cid=AB3537
Rabbit IgG (Fc specific) (6D3) Mouse mAb (AB3538)
UniProt:
Application:WB
Reactivity:Rabbit
Source:Mouse mAb
http://www.abways.cn/showproduct.asp?cid=AB3538
Rabbit IgG (Light Chain Specific) (7F9) Mouse mAb (AB3539)
Application:WB
Reactivity:Rabbit
Source:Mouse mAb
Rabbit IgG (Light Chain Specific) (7F9) Mouse mAb (AB3539)
UniProt:
Application:WB
Reactivity:Rabbit
Source:Mouse mAb
http://www.abways.cn/showproduct.asp?cid=AB3539
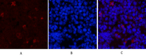
Cleaved Caspase-8 (4C2) Mouse mAb (AB3540)
UniProt:Q14790
Application:WB,IHC,ICC/IF
Reactivity:Human,Mouse,Rat
Source:Mouse mAb
Cleaved Caspase-8 (4C2) Mouse mAb (AB3540)
UniProt:Q14790
Application:WB,IHC,ICC/IF
Reactivity:Human,Mouse,Rat
Source:Mouse mAb
http://www.abways.cn/showproduct.asp?cid=AB3540
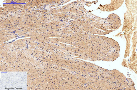
HAO1/GOX (4B4) Mouse mAb (AB3541)
UniProt:Q9UJM8
Application:WB,IHC,ICC/IF
Reactivity:Mouse,Rat
Source:Mouse mAb
HAO1/GOX (4B4) Mouse mAb (AB3541)
UniProt:Q9UJM8
Application:WB,IHC,ICC/IF
Reactivity:Mouse,Rat
Source:Mouse mAb
http://www.abways.cn/showproduct.asp?cid=AB3541













销售咨询
一键电话