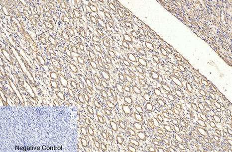
单克隆抗体
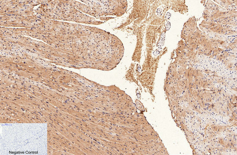
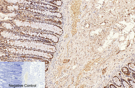
Bcl-2 (3H5) Mouse mAb (AB3559)
UniProt:P10415
Application:WB,IHC,ICC/IF
Reactivity:Human,Chicken
Source:Mouse mAb
Bcl-2 (3H5) Mouse mAb (AB3559)
UniProt:P10415
Application:WB,IHC,ICC/IF
Reactivity:Human,Chicken
Source:Mouse mAb
http://www.abways.cn/showproduct.asp?cid=AB3559
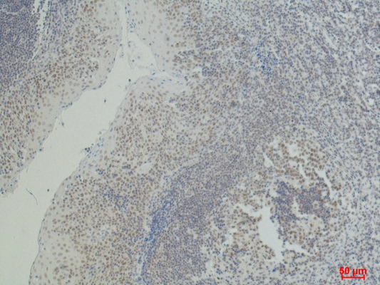
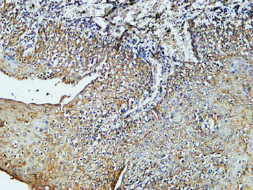
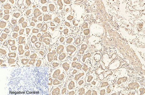
CD1a (4C3) Mouse mAb (AB3560)
UniProt:P06126
Application:IHC
Reactivity:Human,Mouse,Rat
Source:Mouse mAb
CD1a (4C3) Mouse mAb (AB3560)
UniProt:P06126
Application:IHC
Reactivity:Human,Mouse,Rat
Source:Mouse mAb
http://www.abways.cn/showproduct.asp?cid=AB3560
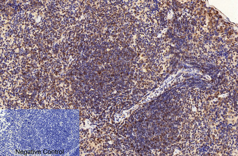
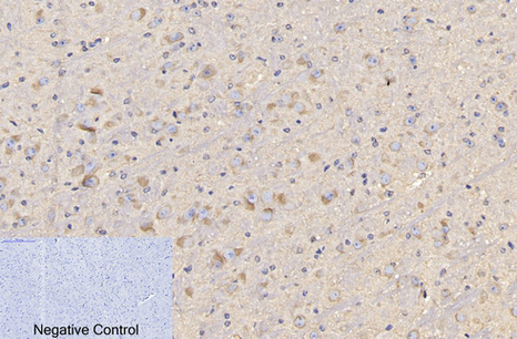
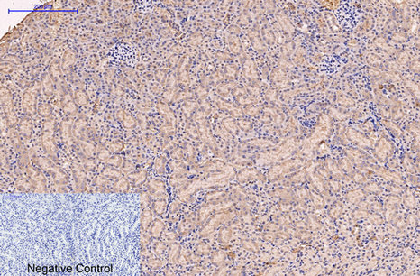
CD2 (3F10) Mouse mAb (AB3561)
UniProt:P06729
Application:IHC
Reactivity:Human,Mouse,Rat
Source:Mouse mAb
CD2 (3F10) Mouse mAb (AB3561)
UniProt:P06729
Application:IHC
Reactivity:Human,Mouse,Rat
Source:Mouse mAb
http://www.abways.cn/showproduct.asp?cid=AB3561
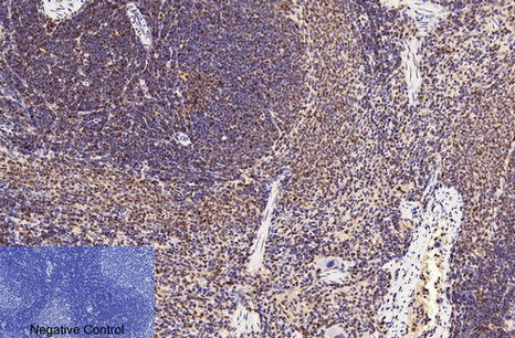
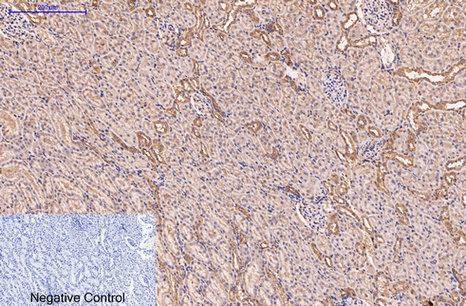
CD4 (7H9) Mouse mAb (AB3562)
UniProt:P01730
Application:IHC
Reactivity:Human,Mouse,Rat
Source:Mouse mAb
CD4 (7H9) Mouse mAb (AB3562)
UniProt:P01730
Application:IHC
Reactivity:Human,Mouse,Rat
Source:Mouse mAb
http://www.abways.cn/showproduct.asp?cid=AB3562
CD5 (10F9) Mouse mAb (AB3563)
UniProt:P06127
Application:IHC
Reactivity:Human,Mouse,Rat
Source:Mouse mAb
CD5 (10F9) Mouse mAb (AB3563)
UniProt:P06127
Application:IHC
Reactivity:Human,Mouse,Rat
Source:Mouse mAb
http://www.abways.cn/showproduct.asp?cid=AB3563

























销售咨询
一键电话