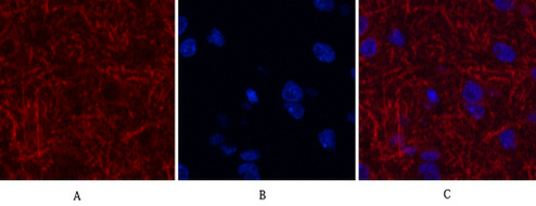
单克隆抗体
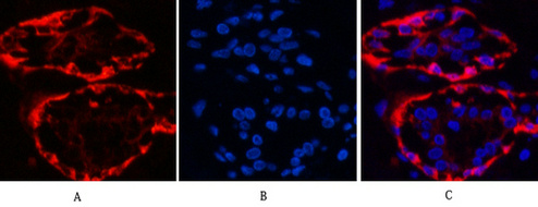
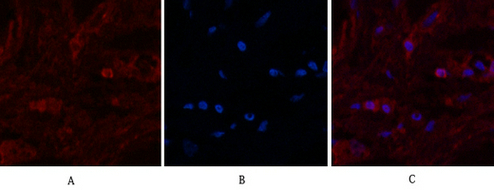
MAP2 (3B5) Mouse mAb (AB3516)
UniProt:P11137
Application:IHC,ICC/IF
Reactivity:Human,Mouse,Rat
Source:Mouse mAb
MAP2 (3B5) Mouse mAb (AB3516)
UniProt:P11137
Application:IHC,ICC/IF
Reactivity:Human,Mouse,Rat
Source:Mouse mAb
http://www.abways.cn/showproduct.asp?cid=AB3516
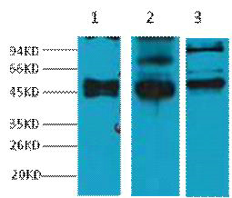
ABCB5 (8D2) Mouse mAb (AB3517)
UniProt:Q2M3G0
Application:WB,ICC/IF
Reactivity:Human
Source:Mouse mAb
ABCB5 (8D2) Mouse mAb (AB3517)
UniProt:Q2M3G0
Application:WB,ICC/IF
Reactivity:Human
Source:Mouse mAb
http://www.abways.cn/showproduct.asp?cid=AB3517
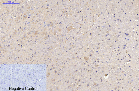
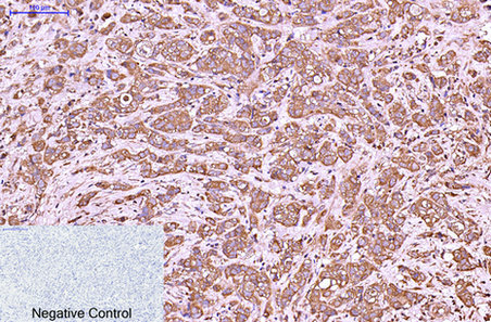
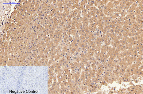
Cytokeratin 6 (1A5) Mouse mAb (AB3518)
UniProt:P02538
Application:WB,IHC,ICC/IF
Reactivity:Human
Source:Mouse mAb
Cytokeratin 6 (1A5) Mouse mAb (AB3518)
UniProt:P02538
Application:WB,IHC,ICC/IF
Reactivity:Human
Source:Mouse mAb
http://www.abways.cn/showproduct.asp?cid=AB3518
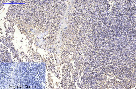
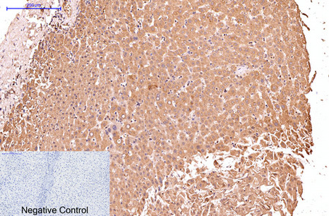
Cytokeratin 17 (8C6) Mouse mAb (AB3519)
UniProt:Q04695
Application:WB,IHC,ICC/IF,IP
Reactivity:Human
Source:Mouse mAb
Cytokeratin 17 (8C6) Mouse mAb (AB3519)
UniProt:Q04695
Application:WB,IHC,ICC/IF,IP
Reactivity:Human
Source:Mouse mAb
http://www.abways.cn/showproduct.asp?cid=AB3519
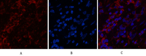
alpha Lactalbumin (10B3) Mouse mAb (AB3520)
UniProt:P00709
Application:WB,IHC,ICC/IF
Reactivity:Human
Source:Mouse mAb
alpha Lactalbumin (10B3) Mouse mAb (AB3520)
UniProt:P00709
Application:WB,IHC,ICC/IF
Reactivity:Human
Source:Mouse mAb
http://www.abways.cn/showproduct.asp?cid=AB3520



















销售咨询
一键电话